При постановке диагноза остеосклероз коленного сустава пациента, прежде всего, волнует, что это такое и как бороться с патологией. Ведь медики предупреждают, что без специфического лечения заболевание провоцирует серьезные осложнения. Попытаемся выяснить, насколько опасен субхондральный остеосклероз, и как предотвратить его развитие.
Общая характеристика заболевания
Для любого вида остеосклероза характерно изменение плотности костной ткани. Фактически заболевание является антагонистом остеопороза, когда кости становятся хрупкими из-за снижения этого показателя.
На первый взгляд, более плотные, а значит и крепкие, кости должны выдерживать большие нагрузки. Но на практике измененные участки костей теряют свою упругость. Значит, при остеосклерозе вероятность патологических переломов ничуть не меньше, чем при остеопорозе.
Механизм развития такой патологии объясняется нарушением баланса между работой остеобластов и остеокластов, клеток, отвечающих за разрушение и продуцирование костной ткани. То есть костные трабекулы, компактное и губчатое вещество в костной ткани синтезируется на порядок быстрее, чем старые клетки успевают разрушаться.
Нередко такие отклонения фиксируются на фоне инфекционных и опухолевых поражений, генетических и гормональных изменений, интоксикации и дегенеративных заболеваний. Поэтому при обнаружении остеосклероза медики стараются лечить не сам признак, а выясняют, что привело к таким проблемам.
Врачи отмечают, что остеосклероз коленного сустава может быть вызван различными факторами, включая возрастные изменения, травмы, воспалительные процессы и хронические нагрузки на сустав. С возрастом костная ткань теряет свою эластичность, что приводит к её уплотнению и изменению структуры. Травмы, такие как вывихи или переломы, также могут способствовать развитию данного состояния. Важно учитывать, что остеосклероз часто сопровождается болевыми ощущениями и ограничением подвижности.
Для лечения остеосклероза специалисты рекомендуют комплексный подход. Это может включать физиотерапию, которая помогает укрепить мышцы вокруг сустава и улучшить его функциональность. В некоторых случаях назначаются противовоспалительные препараты для уменьшения боли и отека. Врач может также рекомендовать изменения в образе жизни, такие как снижение физической нагрузки и коррекция питания. В тяжелых случаях может потребоваться хирургическое вмешательство для восстановления нормального состояния сустава. Регулярные обследования и контроль состояния являются важными для успешного лечения и предотвращения осложнений.

Виды остеосклероза
Заболевание считается довольно распространенным, так как сопровождает многие патологии колена. Поэтому назвать с ходу, что привело к таким изменениям, довольно проблематично. Именно этот факт заставил медиков глубоко классифицировать остеосклероз, причем одновременно по нескольким направлениям.
Разобравшись с видом патологии, можно понять, какие факторы стали причиной уплотнения костей.
Прежде всего, заболевание разделяют на:
- врожденное, что чаще всего является генетическими отклонениями или патологиями внутриутробного развития;
- приобретенное, то есть появившееся уже на протяжении жизни.
Кроме этого, встречается проблемы:
- физиологического характера, которые не считаются серьезными патологиями, так как возникают в точках роста у детей и подростков и не вызывает тревог;
- патологические, которые являются признаком определенного заболевания – для их устранения требуется специфическое лечение.
Если рассматривать заболевание с точки зрения локации патологии, то можно выделить несколько типов:
- Местный или очаговый, то есть поражающий определенный участок кости. Чаще всего встречается в местах сращивания переломов.
- Ограниченный или локальный, который охватывает четко ограниченную часть кости. При этом здоровая ткань отделена патологически уплотненным участком от поврежденных клеток. Встречается при поражении кости остеомиелитом, костным туберкулезом, склерозирующимсакроилеитом, болезнью Броди и развивается стремительно.
- Распространенный, охватывающий одновременно несколько участков скелета. Причем места патологии могут обнаруживаться как на нижних, верхних конечностях, так и на позвоночнике.
- Системный, поражающий практически всю костную ткань. В основном причины таких изменений имеют генетический характер.
Благодаря такой классификации медики относят конкретные случаи заболеваний к определенному типу.
Причины развития заболевания
Ярко характеризирует происхождение и причины патологии причинно-следственная классификация.
С этой стороны стоит заострить внимание на таких видах заболевания:
- Идеопатическом. Причина остается не выясненной, что усложняет выбор тактики лечения.
- Посттравматическом. Начинает развиваться в местах переломов костей.
- Физиологическом. Диагностируется исключительно у детей на фоне активного роста.
- Реактивном. Неадекватная и стремительная реакция организма на развивающийся патологический процесс, поражающий костную ткань. Таким способом здоровая ткань как бы защищается от негативного воздействия.
- Токсическом. Возникающем на фоне тяжелого отравления токсическими веществами или тяжелыми металлами.
- Наследственном, который имеет чаще всего генетический характер.
- Дегенеративно-дистрофическом, который выражается повышением плотности суставных поверхностей при артрозе или остеохондрозе.
В каждом случае будут свои причины, которые могут пересекаться и сочетаться.
Остеосклероз коленного сустава вызывает множество обсуждений среди пациентов и специалистов. Люди часто отмечают, что основными причинами этого состояния являются возрастные изменения, травмы и чрезмерные нагрузки на сустав. Многие пациенты делятся своим опытом, подчеркивая важность ранней диагностики и регулярного наблюдения у врача. В лечении остеосклероза акцентируется внимание на комплексном подходе: физиотерапия, лечебная физкультура и медикаментозная терапия помогают облегчить симптомы и улучшить качество жизни. Некоторые пациенты отмечают положительный эффект от использования хондропротекторов и противовоспалительных средств. Однако многие также подчеркивают, что индивидуальный подход к каждому случаю является ключевым для достижения наилучших результатов.

Почему развивается заболевание субхондрального типа
При поражении суставных сочленений или позвонков ставится диагноз субхондральный остеосклероз.
Причины такой патологии изучены хорошо, так как заболевание достаточно распространенно и все чаще обнаруживается у пациентов средней возрастной группы.
Внутренние факторы или эндогенные причины, которые провоцируют субхондральный остеосклероз,
обычно связаны с:
- Эндокринными заболеваниями, на фоне которых хрящевая ткань истончается или изменяется структура костной ткани. С проблемами коленей такого типа чаще всего связан сахарный диабет, так как при этом заболевании нарушается кровоток в нижних конечностях.
- Старением организма. Практически у 80% пожилых людей наблюдаются артрозные изменения в коленях, что и становится толчком для развития остеосклероза.
- Наследственной предрасположенностью. Риск появления таких заболеваний как артроз или остеохондроз увеличивается в разы, если ими страдали кровные родственники пациента.
- Иммунными нарушениями. Уплотняется сочленение костей нередко на фоне воспалительных заболеваний, связанных со сбоями в работе иммунитета. Поэтому такой признак может сигнализировать о наличии ревматоидного артрита, системной красной волчанки.
- Сосудистыми патологиями. На фоне варикоза, тромбоза, эмболии кровоснабжение и питание костей нижних конечностей нарушается, что и приводит к патологическим изменениям в их структуре.
- Обменные нарушения. Остеосклероз часто развивается на фоне подагры, болезни Вильсона-Коновалова.
Но кроме внутренних причин, существует и ряд внешних факторов, которые способны спровоцировать или ускорить негативные процессы в костях.
К экзогенным причинам относят:
- Микротравмы. С такими повреждениями сталкиваются танцоры, спортсмены, которые регулярно превышают норму нагрузки на колени. Также микротравмы встречаются у людей, чья профессиональная деятельность связана с использованием пневматического инструмента.
- Внутрисуставные переломы. На фоне такого повреждения нарушается принцип питания сустава, что и приводит к патологическим изменениям.
- Дефекты врожденного характера.
- Лишний вес. У тучных людей нагрузка на колени превышена в десятки раз, что и приводит к необратимым процессам в суставе.
- Отсутствие двигательной активности. Когда коленный сустав не нагружается в достаточном объеме, происходят застойные процессы, что приводит к уменьшению объема суставной смазки и притока к суставу крови.
Поэтому лечение такого заболевания обычно строится как на принципах устранения болезней-провокаторов, так и на изменении образа жизни.
Видео
Видео — Упражнения для профилактики заболеваний коленных суставов
https://youtube.com/watch?v=PnnzYK79yWs%3Frel%3D0
Диагностика
Остеосклероз не является обособленным заболеванием. Чаще всего такая патология выступает признаком другой болезни.
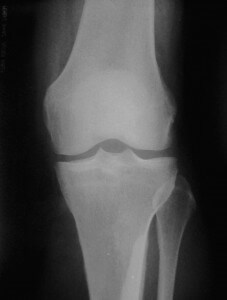
На рентгенологических снимках могут отражаться признаки различной яркости,
что и становится поводом для отнесения остеосклероза к разным стадиям:
- На начальной стадии обнаруживаются краевые разрастания кости. При этом суставная щель на снимке не уменьшена. При осмотре обнаруживается частичное ограничение движений в суставе.
- При дальнейшем развитии патологии снимки показывают существенное разрастание костной ткани и сужение суставной щели. Больные жалуются не только на боли, но и на невозможность выполнять повседневную работу.
- Для запущенной стадии характерна деформация колена с уплощением. Разросшиеся края кости проникают в хрящ и суставную щель, что провоцирует полную потерю подвижности сустава.
В зависимости от стадии остеосклероза подбирается и лечение.
Как проводится лечение
Терапия будет намного эффективнее, если пациент обратился за помощью на начальной стадии патологии. Следует помнить, что разросшиеся края кости удалить можно только хирургическим путем. Никакие таблетки и массажи не помогут избавиться от такого изменения.
Чтобы назначить правильное лечение, доктор должен выяснить причину, спровоцировавшую патологию, то есть определить, признаком какого заболевания является остеосклероз.
Учитывая, что такой признак выявляется при кардинально различных заболеваниях, единой тактики лечения просто не может быть.
Для уменьшения болезненных ощущений могут назначаться препараты нестероидной противовоспалительной группы или кортикостероиды. Кроме этого, курс лечения может включать витамины группы В, миорелаксанты, сосудистые лекарства. Такая тактика способствует уменьшению болевого синдрома и воспалительных реакций.
Параллельно должна проводиться терапия основного заболевания специфическими препаратами.
В период ремиссии назначается восстанавливающее лечение. Здесь будут уместны физиотерапевтические процедуры, с упором на массаж, а также процедуры, которые разгоняют кровь и питают ткани.
Не на последнем месте стоит лечебная гимнастика, дающая умеренную нагрузку на пораженные области. Больным с проблемами коленей рекомендованы пешие прогулки, плавание, йога.
Возможно и применение хондропротекторов, которые помогут запустить регенерацию хряща, что, в свою очередь, поможет затормозить разрастание костной ткани.
Больным с подобными проблемами суставов рекомендуется санаторно-курортное лечение, где большинство назначаемых процедур направлено на восстановление здоровья суставов.
Также пациентам необходимо уделить внимание питанию. Сбалансировав меню по витаминам и минералам, питательным нутриентам, нельзя допускать перееданий, что приводит к увеличению веса.
И главное, необходимо проводить периодически диспансеризацию, чтобы не допустить ухудшения состояния.
Вопрос-ответ
Можно ли вылечить остеосклероз?
Уплотнение кости приводит к изменению ее механических свойств, что нередко заканчивается переломами, травмами, повышает вероятность повреждений при незначительном механическом воздействии. Заболевание серьезное. Без коррекции исходного виновника, причины патологического процесса, качественное лечение невозможно.
Что вызывает склероз кости?
Склероз костей — это очаговое, многоочаговое или диффузное увеличение плотности костного матрикса на рентгенограммах или снимках компьютерной томографии (КТ). Это рентгенологическое явление может быть вызвано широким спектром заболеваний, таких как врожденные и приобретенные нарушения развития, нарушения отложения и метаболические заболевания .
Что такое остеосклероз коленного сустава?
Остеосклероз – это ограниченное или распространенное уплотнение кости, при котором увеличивается толщина компактного слоя.
Что такое склероз колена?
Субхондральный склероз поверхностей сустава представляет собой дегенеративно-дистрофическое заболевание суставов, для которого характерна первичная дегенерация суставного хряща с последующими изменениями суставных поверхностей и развитием краевых остеофитов. Это в последующем приводит к деформации суставов.
Советы
СОВЕТ №1
Регулярно проходите медицинские осмотры и обследования, особенно если у вас есть предрасположенность к заболеваниям суставов. Раннее выявление остеосклероза может значительно улучшить прогноз и помочь избежать серьезных осложнений.
СОВЕТ №2
Поддерживайте здоровый образ жизни, включая сбалансированное питание, богатое кальцием и витамином D. Эти элементы способствуют укреплению костной ткани и могут замедлить прогрессирование остеосклероза.
СОВЕТ №3
Регулярно занимайтесь физической активностью, но выбирайте упражнения, которые не нагружают коленные суставы. Плавание, йога и специальные комплексы для суставов помогут укрепить мышцы и улучшить подвижность без риска травм.
СОВЕТ №4
Обсудите с врачом возможность применения медикаментозной терапии или физиотерапии для облегчения симптомов и улучшения состояния коленного сустава. Индивидуально подобранные методы лечения могут значительно повысить качество жизни.




