.
Побелела десна у человека – это явный сигнал, на который необходимо обращать внимание. При обнаружении у себя этого симптома, нужно сразу же обращаться за квалифицированной помощью к доктору, который сможет диагностировать первопричины появления белого цвета, и назначит соответствующие лечение.
Побелели десны: причины, лечение, профилактические меры
Побелела десна у человека – это явный сигнал, на который необходимо обращать внимание. При обнаружении у себя этого симптома, нужно сразу же обращаться за квалифицированной помощью к доктору, который сможет диагностировать первопричины появления белого цвета, и назначит соответствующее лечение.
Классификация заболевания
Такой симптом как гной на деснах может свидетельствовать о различных формах гингивита.
Данную патологию стоматологи разделяют на следующие варианты:
| Форма болезни | Клиническое течение |
Локализованный гингивит |
Острое поражение |
Генерализованный периодонтит |
Хронический процесс |
Тяжесть воспалительного повреждения мягких тканей ротовой полости зависит от распространенности патологии и количества симптомов:
| Степень тяжести гингивита | Клиническая картина |
| Покраснение и отек межзубных промежутков | Легкая форма |
| Гиперемия распространяется на околозубные ткани. | Средняя форма |
| Воспаление всей площади десны | Тяжелая форма |
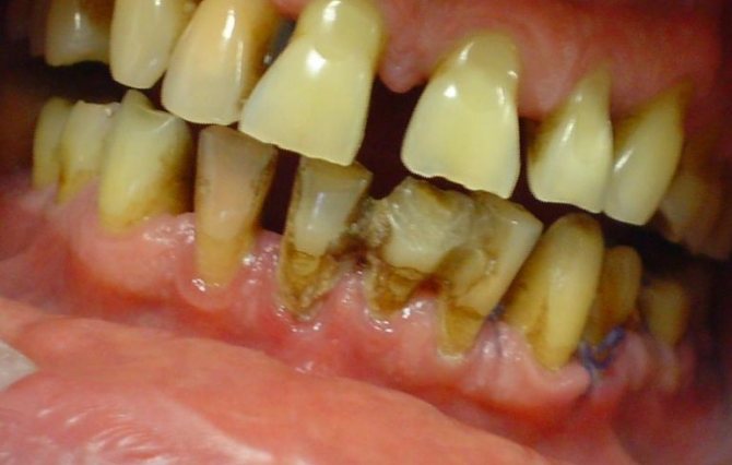
Стоматологи обращают внимание, что при гингивите сохраняется целостность зубодесневого соединения. В связи с этим гной из-под десны вытекать не может.
Основные причины появления
| Название причины | Симптомы |
| Новообразования | Если у взрослых людей возле зуба на деснах , появляются белые пятнышки, вполне реально, что это жировики, которые к тому же причисляются к доброкачественным. Они не представляют опасности для человека, но если их не лечить, жировик может начать увеличиваться в размерах, и тогда человеку понадобятся услуги онкологов. |
| Недостаток витаминов (кальция) и минералов в организме | Побеление десны еще может случиться из- а гиповитаминоза . Если начать тщательно следить за своим рационом, дополнительно насыщать организм продуктами с высоким уровнем кальция, тогда проблема уйдет сама по себе. Но даже в таком случае необходимо сходить на прием к стоматологу. |
| Нарушение правил гигиены | Если не следить за чистотой полости рта в течение нескольких дней или же чистить зубы некачественно, тогда побелевшая десна — это результат несоблюдения правил гигиены. Белый налет возле зуба и на деснах нужно счищать при помощи зубной щетки , но делать всю процедуру необходимо крайне аккуратно, дабы не повредить ткани. После этого, необходимо тщательно прополоскать рот специальными ополаскивателями, которые «закрепляют» полученный результат. |
| Воздействия термического характера | Десна покрывается белыми пятнами, если выпить слишком горячий напитой (чай, кофе) или скушать чересчур горячую пищу. |
| Отбеливание | Весь процесс в значительной мере влияет на общее состояние ротовой полости, поэтому вполне допустимо, что после проведения отбеливания могут побелеть некоторые участки на десне. Если во время этого десны не кровоточат , не опухают, тогда нужно немного подождать и проблема исчезнет, то есть десна приобретет нормальный цвет. Но как только вы наблюдаете за этим явлением, сразу же информируете своего стоматолога, который делал процедуру. |
| Стоматит | Это не очень опасное, но приносящее дискомфорт заболевание развивается у взрослого реже, чем у ребенка . Как только вы видите побелевшую десну или бледно-серовато – белый налет у своего чада, тогда вполне реально, что это стоматит. Вызванный несоблюдением гигиены полости рта. Как только это обнаруживается то сразу нужно начинать комплексное лечение состоящие из специализированной диеты (в это время нельзя употреблять острую, чересчур соленую или кислую пищу) плюс к этому пораженные места обрабатывают мазями (какие именно вам подскажет доктор или фармацевт в аптеке). Еще рекомендуют дополнительно полоскать ротовую полость растворами (можно травяными) тогда побелевшая часть тканей начнет возвращать привычный цвет, а гнойный налет просто удалиться. |
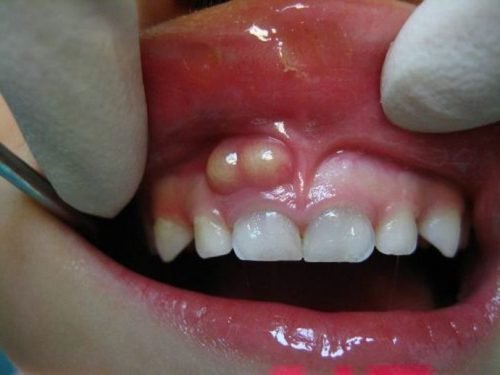
| Киста | Если появляется небольшое уплотнение белым цветом в районе зуба, то это может быть киста, ведь один из ее симптомов гнойник. Для лечения данного заболевания необходима рентгеновская диагностика. Люди почему-то не предают особого внимания таким вот казалось бы незначительным симптомам хотя в итоге они приносят много негативных последствий. Как вариант это может быть удаление зубов. |
| Кандидамикоз или молочница | Это заболевание характеризуется бледными деснами , которые стают такими из-за того, что организму не хватает витамин, поэтому иммунитет ослабевает. Молочницей могут болеть как взрослые люди (чаще женщины), так и их детки. Они могут возникать после приема антибиотиков, которые достаточно сильно влияют на микрофлору организма. Еще десна вокруг зуба белеет по причине того, что в полости рта активно размножаются вредоносные микроорганизмы грибковых культур. |
| Парадонтит | Белая точка в таком случае будет свищом, с помощью которого выходит гной из десен . |
| Диабет или ВИЧ | Если причина того что десны стали бледнее или вовсе побелели в том, что ваш организм страдает этими заболеваниями, тогда нужно обратиться за помощью не только к стоматологу, в таких ситуациях не будет лишним дополнительная консультация у врача – иммунолога и эндокринолога. Они дадут четкие указания, какой вид лечения подойдет пациенту с особенными требованиями. |
Микротравмы
Одиночные белые пятна на десне могут появиться при ее травмировании чем-то острым: кусочком сухарика, косточкой или печеньем. Такие ссадинки быстро заживают и не требуют специальной медицинской помощи. Однако, если они не проходят в течение нескольких дней, визит врачу придется нанести, чтобы он установил точную причину возникновения белесых пятнышек и назначил схему лечения.
Иногда люди обнаруживают у себя на десне белое пятно. Причин для этого явления может быть много. Несмотря на то что оно не причиняет никакой боли своему обладателю, необходимо обращать внимание на все изменения, происходящие в полости рта. Поэтому при обнаружении светлого пятна или налёта стоит записаться на приём к стоматологу.
Белые пятна на дёснах могут возникать по разным причинам. Например, несоблюдение или даже развитие серьёзных патологических состояний. Выявить истинную причину, спровоцировавшую такое состояние, может исключительно стоматолог. Врач проведёт диагностику и назначит соответствующее лечение.
Появление пятен может быть спровоцировано рядом факторов:
- поражение слизистой;
- кистозные образования в зубе;
- патология слизистой, сопровождающаяся повышенным ороговением эпителия;
- предраковое состояние.
Поражение слизистой полости рта
Самым распространённым поражением слизистой считается стоматит. Его первым симптомом является покраснение внутри ротовой полости связанное с развитием воспалительного процесса.
Слизистая отекает, возникают болезненные ощущения и чувство жжения, появляются белые пятнышки на дёснах и по всей полости. Если оставить проблему без должного лечения, это может привести к формированию небольших язв белого либо серого оттенка.
Одним из видов этой болезни является кандидозный стоматит или молочница рта. Именно для этого заболевания наиболее характерно образование белых пятен.
Стоматит возникает из-за негативного влияния бактерий на полость рта, ослабленной иммунной системы, аллергической реакции, заболеваний вирусного характера, нарушений в работе желудочно-кишечного тракта, сердечно-сосудистой и нервной систем, а также образования злокачественных клеток.
Кистозные образования в зубе
Киста зуба – это гнойник, образовавшийся вследствие развития инфекционного процесса в тканях десны. Это патологическое состояние очень опасно, так как может привести к тяжёлым осложнениям. При возникновении подозрений на кисту пациента незамедлительно направляют на рентгенографию.
В начальной стадии киста выглядит, как небольшое белое пятнышко на десне, но в процессе формирования может принимать более крупный размер.
Не так давно, чтобы излечить кисту, нужно было удалить поражённый зуб и тщательно очистить возникшую полость. Однако современная медицина может предложить более щадящие варианты лечения, подразумевающие сверление отверстия в зубе, через которое и вытекает содержимое кистозного образования, после чего корневой канал промывается. Существуют также методы лечения кисты зуба, предполагающие удаление не всего зуба, а лишь его части.
Развитие лейкоплакии
Если у пациента наблюдаются белые бляшки на дёснах, которые несколько возвышаются над остальной поверхностью, то стоматолог может заподозрить лейкоплакию – заболевание, характеризующееся ороговением эпителия внутри рта. Если игнорировать подобный симптом, то по истечении определённого промежутка времени кожный покров полости рта станет шероховатым и покроется трещинами и язвами, причиняющими боль.
В качестве факторов, провоцирующих развитие лейкоплакии, можно назвать курение, пристрастие к горячим блюдам, неправильный прикус, некачественное протезирование, старые пломбы, приводящие к травмам.
Что делать в ситуации, когда после удаления на десне появились белые пятна?
Зубы – это важный компонент пищеварительного пути, поэтому, когда они начинают болеть, человек просто не в состоянии долгое время терпеть эту выматывающую и малоприятную боль. Если после того как врач удалил зуб, и пациент прослеживает изменение в цвете десны, она становится бледная, а потом и вовсе белеет, это может отражать только одно, в организме начинается воспалительный процесс.
Гнойник на корне зуба
- Для которого также характерно, что некоторые участки возле зуба приобретают красный оттенок.
- Сероватый налет, который может быть диагностирован в качестве белых зон на деснах. Воспалительный процесс – сигнал о наличии осложнений, которые просто необходимо предотвращать, с минимальными потерями.
Врачи–стоматологи в случаях когда у пациента неестественно бледные десна, предлагает пройти обследования, включающее в себя:
- Первичный визуальный осмотр.
- При необходимости он дает направление на прохождение рентгенографии и компьютерной томографии.
- Для исключения/идентифицирования вирусных заболеваний делается забор крови на клинический и общий анализ.
Как только будет установлен диагноз, врач полностью расписывает лечение.
В самых запущенных ситуациях, когда спасти зубы просто нереально, пациенту назначают хирургическую операцию, и последующий процесс полного восстановления.
Методы диагностики
Мама самостоятельно может провести первую диагностику, увидев белое пятно во рту малыша. Очень часто причиной паники являются остатки молока или смеси. Осторожно проведя ватной палочкой по налету или пятнышку, можно выяснить, не молочко ли это.
Во всех остальных случаях следует обращаться к специалистам. Педиатр проведет осмотр, при необходимости назначит исследования крови, слюны, мазка с десны, может потребоваться анализ содержимого прыщика, забор которого проведут в больнице. Грудничка осмотрит и детский стоматолог. Дальнейшее лечение проводится под наблюдением врачей, маме нужно внимательно соблюдать все рекомендации, чтобы у ребенка не появилось серьезных осложнений.
Основные нюансы лечения
Если проблемы начались после того как вы отбелили зубы, тогда можно сделать настой из ромашки и по несколько раз в день полоскать рот этим раствором. Для этого нужен один стакан кипятка и пакетик ромашки. Через несколько дней налет исчезнет.
Если бледно-серый налет появился у малыша во время прорезывания зубов, тогда врачи советуют использовать Калгель.
Если причина в грибковых заболеваниях, тогда необходимо применять следующие противогрибковые средства: Клотримазол, Пимафуцин и т.д. На этот период настоятельно рекомендуется исключить из своего рациона кондитерские изделия и сладости.
Если же пораженные участки не поддаются лечению, а только удалению, тогда на сегодняшний день особую популярность имеет удаление с помощью лазера. Врачи называют его радиоволновым методом или операции с помощью электроножа. Такие болезни, как лейкоплакия не стоит лечить посредством использования жидкого азота, так как он может оставить довольно большие и грубые рубцы на тканях. Это не самое приятное с эстетической точки зрения. Как только подозревают развитие лейкоплакии, то в то самое время нужно записываться на прием к специалисту.
Более 20 процентов людей, страдающие раком слизистой оболочки рта, ранее диагностировали у себя лейкоплакию.
Касательно лечения, то тут применяется комплексный терапевтический подход. Первым делом полностью устраняются факторы, которые являются прямыми причинами развития болезни. Если у пациента есть металлические протезы, то их также удаляют, пациенту нужно будет отказаться от курения на все время лечения. После проведения операции по удалению, следующим этапом будет профилактика развития воспалительных или инфекционных процессов. Потом уже наступает период восстановления.
Несоблюдение гигиены
Болят десны и появляются белые пятна на них по самым разным причинам. Это может быть банальное несоблюдение гигиены полости рта. Нерегулярная или недостаточно тщательная чистка зубов может привести к размножению бактерий. Необходимо не забывать об элементарных правилах ухода за ротовой полостью, известных с детства: чистить зубы дважды в день, полоскать рот после каждого приема пищи. Если причина воспаления десны и появления на ней белых пятен в недостаточном уходе за полостью рта, то при регулярном соблюдений правил гигиены белесые точки пройдут безболезненно.
Профилактические меры
Выполнения стандартных процедур, поможет вам не допустить появление налета на деснах.
- Тщательное соблюдение всех гигиенических мер: по приходу с улицы, после туалета первым делом моются руки, особенно это касается детей, которые не всегда охотно выполняют этот пункт. А ведь именно из-за этого может начать развиваться стоматит.
- Плюс к этому полоскание рта ополаскивателями, при необходимости применения зубной нити для очистки зубов.
- Нельзя начинать принимать антибиотические средства, без четкого назначения врача. ведь неправильное выполнение предписаний, сказывается на иммунитете, и как следствие во рту появляются белый налет или небольшие язвочки.
- Беременные женщины должны своевременно и разрешенными лекарственными средствами лечить кандидоз.
- Раз в году в обязательном порядке проходится диспансеризация.
- Регулярное посещение врача, даже в те моменты, когда вас ничего не беспокоит.
Кандиоз
Если болят десны и появляется белый налет, причиной может быть и такое заболевание как кандиоз, проще говоря, молочница. Белесые высыпания при кандиозе могут появиться во всей полости рта: десны, язык, щеки. Внешне это выглядит как неприятный творожистый налет, под которым, при запущении болезни, появляются белые болезненные язвочки. Боль появляется при глотании, приеме пищи, разговоре. Чаще этому заболеванию подвержены дети, но нередко она встречается и у взрослых. Для лечения кандиоза нужно нормализовать кислотно-щелочной баланс микрофлоры. Хорошо для этого подходит обычная пищевая сода. Полоскание содовым раствором нейтрализует размножение бактерий и повышенную кислотность.
Если десна воспалилась и появились белые точки, это может быть начальным этапом пародонтита. Чтобы сохранить здоровье зубов, необходимо как можно скорее посетить специалиста. Под белым пятнышком скапливается гной, что может со временем повредить зуб.
Пятна или налет?
Очень важно в первую очередь определить, имеем мы дело с пятнами на деснах или налетом по их поверхности, ведь это – признаки совершенно разных заболеваний. О чем говорят белые десна у взрослого?
- Если есть одно-два белых пятнышка с затвердением – скорее всего, оно возникло из-за механического воздействия на нежную слизистую оболочку. Это может быть реакция на острый край зуба или неподходящей формы пломбу, неудачные съемные протезы. Также данное явление часто наблюдается у курильщиков и у любителей слишком горячей еды – из-за воздействия высокой температуры. Называется это явление лейкоплакия и является весьма распространенной проблемой.
Не стоит думать, что раз причина лейкоплакии понятна, то это проявление ничем вам не угрожает. Лейкоплакия – это предраковое состояние, и если ее не лечить, может начаться развитие онкологического заболевания. Поэтому, обнаружив белые пятна на деснах, обращайтесь к стоматологу как можно раньше. Возможно, достаточно просто подровнять острый край зуба или пломбы, чтобы опасность была устранена.
Если у вас возникла проблема, похожая на описанную в данной статье, обязательно обратитесь к нашим специалистам. Не ставьте диагноз самостоятельно!
- Белое пятно объемное и при его надавливании возникают болезненные ощущения – это может быть жировик на десне или киста. Проконсультируйтесь с врачом, из-за чего возникла белая точка на десне – возможно, их лучше удалить хирургическим путем, ведь такие новообразования могут оставаться безвредными, а могут запустить механизм перехода в злокачественную форму.
- Если белые точки на деснах имеют массовый характер – скорее всего, вы столкнулись со стоматитом. Это воспалительный процесс, который вызывают определенные виды бактерий. Стоматит часто встречается у маленьких детей, иммунитет которых еще не может в полную силу бороться с бактериями в ротовой полости. У взрослых же он может быть следствием других заболеваний, ослабляющих иммунитет, недостаточной гигиены ротовой полости и пр. Стоматит опасен тем, что белые точки и пятнышки со временем становятся кровоточащими ранками и язвами. Пациент чувствует постоянную боль во рту, прием пищи и питья превращается в настоящее мучение, плюс велика опасность заражения ранок. Поэтому не стоит доводить дело до такого состояния – на начальном этапе справиться со стоматитом могут специальные асептические растворы, которые выписывает врач.
- Белый налет на поверхности слизистой по всей ротовой полости – это кандидамикоз, поражение крохотными грибками. Оно свидетельствует о сильно ослабленном иммунитете и часто связано с тяжелыми заболеваниями – онкологией, СПИДом, сахарным диабетом, хроническим гепатитом и пр. Также кандидамикоз могут вызывать применяемые в течение долгого времени антибиотики, лекарства от бронхиальной астмы и пр. Грибки не просто покрывают поверхность кожи маленькими или большими пятнами – они разрушают верхние слои кожи, на их месте образуются язвочки. Часто поражение ротовой полости сопровождается болезненными ощущениями, жжением, тошнотой, головной болью. Установить, имеет ли налет грибковую природу, поможет соскоб слизистой и анализ, который делают в крупных медицинских центрах.
Вылечить кандидамикоз непросто – ведь его причина может быть неустранима. Тем не менее, в арсенале современной медицины есть много специальных средств для лечения данного заболевания.
- Белый налет на зубах около десен чаще всего является следствием определенных стоматологических процедур. Профессиональная чистка и удаление зубного камня, например. Если белый налет появился после визита к врачу и не причиняет боли – есть смысл подождать некоторое время, возможно, он устранится сам.
Белые десны – это повод обязательно обратиться к врачу. Не откладывайте визит надолго, ведь чем раньше будет начато лечение, тем быстрее оно даст результат!
Если у вас возникла проблема, похожая на описанную в данной статье, обязательно обратитесь к нашим специалистам. Не ставьте диагноз самостоятельно!
Стоматит
Появление белых пятен на десне может быть признаком стоматита. При данном заболевании тоже необходимо обратиться ко врачу, поскольку могут быть серьезные и опасные для здоровья. Если не заниматься лечением, то белые пятна могут превратиться в язвочки, которые провоцируют сильные болевые ощущения и со временем распространятся по всей ротовой полости. Некрасиво, неудобно и опасно для здоровья, если болят десны и весь рот в белых точках.
Это может сильно снизить качество жизни: иногда эти белые пятна и язвочки на точках мешают есть, разговаривать и двигать языком. Чем быстрее вы обратитесь со стоматитом ко врачу, тем проще, быстрее и дешевле будет лечение. Кроме того, как мы сказали выше, очень важно установить причины появления стоматита! Он лечится полосканием горячей водой, специальными противовоспалительными и обезболивающими растворами для полоскания, различными медикаментами. Пройдите по ссылке выше, и прочтите более подробно про лечение стоматита.
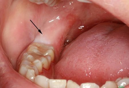
Что делать при воспалении десны возле зуба мудрости
О том, что воспалилась десна около зуба мудрости, скажут жжение, отек, боли и другие симптомы. В большинстве случаев причиной дискомфорта является проблематичное прорезывание третьего моляра, сопровождающееся разрывом и инфицированием десневых тканей. Воспалительный процесс может начаться из-за развития различных заболеваний рта или после некачественного вмешательства стоматолога. В любом случае нужно срочно провести лечение, иначе начнутся осложнения.
Основные клинические симптомы гингивита
Общие признаки воспалительного поражения десен:
| Симптомы воспалительного поражения десны | Клиническая картина |
| Гиперемия слизистой оболочки. | Покраснение десны |
| Отек мягких тканей. | Увеличение объема межзубных промежутков |
| Периодическая кровоточивость. | Кровоточивость десны |
| Образование язв и гнойников. | Изъязвление тканей ротовой полости |
| Гипертрофия десны | Гипертрофия десен |
От нормального явления до инфицирования
Прорезывание зубов мудрости («восьмерок» или третьих моляров) часто приносит ощутимые боли и дискомфорт. Ведь они начинают лезть, когда десневые ткани уже полностью сформированы. К тому же им заранее не прокладывают путь молочные предшественники.
В результате десна над зубом мудрости вполне может опухнуть из-за повреждения тканей его острым краем. Именно тогда проявляются ноющие боли. Конечно, это неприятное явление, но вполне нормальное.
С другой стороны, десневые ткани могут раздуться вследствие попадания болезнетворных бактерий и микробов в травмированные области. В итоге начнется воспаление десны у зуба мудрости. Инфицирование может произойти из-за:
- появления кариеса или пульпита в третьем моляре;
- плохой гигиены;
- развития воспалительных заболеваний рядом с зубом мудрости;
- некачественного лечения «восьмерки» или «семерки» — второго моляра.
Если вдруг воспалилась десна около зубов мудрости, что делать, расскажем ниже, рассмотрев подробнее каждый пункт.
Неонатальные зубы
Причиной возникновения белых пятнышек на деснах новорожденного могут быть зубы, которые начинают прорезываться. Чаще всего это происходит в 6-месячном возрасте, но зубы могут появиться и раньше, иногда в первый месяц жизни крохи. В этом случае их называют неонатальными. Также новорожденный может уже родиться с зубами, которые называются натальными.
Зубы, которые появились так рано, обладают мягкой эмалью, что приводит к их сильному разрушению. Если прикус у малыша не страдает от неонатальных зубок, то их не трогают, но стоматологи чаще всего рекомендуют удалять их.
Внутренние неприятности и некачественная гигиена
Если напухла и побелела десна, возможно, находящийся в ней третий моляр «подхватил» кариес от соседнего зуба. В таком случае десневые ткани воспаляются под воздействием кариесогенных бактерий. В основном, кислотообразующих стрептококков: Streptococcus sanguis, Streptococcus mutans и других видов.
Даже если третий моляр уже вылез и давно не давал о себе знать болезненной симптоматикой, всегда можно ожидать внезапного отека десен. И опять виновником может оказаться кариес, возникший из-за недостаточной гигиены последних зубов. Ведь их невозможно качественно очистить от пищевых остатков, которые постепенно превращаются в зубной налет и камень, создают благоприятные условия для размножения кариесогенных микроорганизмов.
Запущенный кариес в любой момент может вызвать воспаление зуба мудрости, а точнее, его мягкой ткани – пульпы. Так возникает пульпит, по мере развития которого инфекция выходит за пределы «восьмерки» и распространяется на ткани десен, вызывая их набухание.
Гной в десне как симптом заболевания
Нагноение мягких тканей десны может проявлять себя по-разному. В некоторых случаях появляется небольшая припухлость, которая перерождается в свищ. Иногда свищ может сопровождаться отеком щеки или губ. Это зависит от особенностей протекания воспалительного процесса внутри тканей.
Запущенный кариес со временем приводит к гранулирующему периодонтиту в хронической форме, которая характеризуется образованием грануляционной ткани в верхнем отделе корня зуба. Патологическая ткань постепенно распространяется на здоровую ткань периодонта, в итоге чего появляется обширный очаг гнойного экссудата.
Гной ищет выход вовне, провоцируя образование свища. При гранулирующем периодонтите пациенты жалуются на дискомфорт при пережевывании пищи, особенно, твердых продуктов. Хронический гранулирующий очаг воспаления может перерождаться в одонтогенную гранулему, которая характеризуется воспалением надкостницы и соседних мягких тканей десны.
Болезни рта и некачественное вмешательство врача
По сути, воспаление десны около зуба мудрости – это острый гингивит, возникший как раз по вине его прорезывания. Развитие этого заболевания приводит к отеку, гиперемии (интенсивному покраснению) и другим воспалительным симптомам.
Вызвать воспаление вокруг зуба мудрости также может периодонтит, при котором болезнетворные микроорганизмы поражают соединительную ткань и корневую оболочку третьего или второго моляров. Или пародонтит, с помощью бактерий и микробов разрушающий зубные корни, альвеолярные отростки и другие ткани пародонта.
Десна может распухнуть и по вине перикоронита. Болезнь проявляется после инфицирования «капюшона», образующегося на месте слегка вылезшего третьего моляра. Данную ситуацию мы рассмотрели в статье «Устранение капюшона на зубе мудрости».
Если опухла десна возле зуба мудрости после посещения стоматолога или пародонтолога, скорее всего, врач плохо выполнил свою работу. Возможно, он проводил лечение соседнего моляра и травмировал десневые ткани за зубом. Или пользовался при этом нестерильными стоматологическими инструментами.
Неправильное питание
Еще одна возможная причина появления белых пятен на деснах – нарушение правильного режима питания. Дефицит витамина C в организме проявляется по-разному, негативно влияя на многие органы, в том числе и на десна. На них образовываются микротрещинки, в которые попадают бактерии и провоцируют воспаление. Питание должно быть направлено на усиление иммунитета для ускорения процессов регенерации в организме.
Продукты,содержащие витамин C
Рекомендованные продукты:
- сыр;
- творог;
- чеснок;
- молодая говядина;
- шпинат;
- рыба;
- кисломолочные продукты.
Таблица. Для борьбы с инфекциями необходимы продукты с богатым содержанием витаминов и микроэлементов.
| Цинк | Поднимает иммунитет, стимулирует естественную защиту организма | 15-25 мг | Мясо, птица, зерновые, отруби, орехи, капуста, грибы |
| Магний | Уменьшает уязвимость к стрессам, болезням, регулирует давление | 300-400 мг | Злаки, миндаль, молочные продукты, соя, фасоль, бананы |
| Витамин D | Регулирует метаболизм, усвоение кальция, повышает иммунитет | 100-500 мг | Рыба, печень, рыбий жир, яичный желток |
| Витамин С | Антиоксидант, придает энергию, поднимает иммунитет | 50-100 мг | Цитрусовые, земляника, смородина |
| Витамин А | Нормализует обмен веществ, стимулирует иммунную систему | 3400-4500 мг | Морковь, тыква |
| Селен | Укрепляет иммунитет, стимулирует антивирусные клетки | 55-65 мкг | Морепродукты, чеснок, свекла, апельсины |
| Железо | Поддерживает нервную и иммунную систему | 10-15 мг | Яблоки, субпродукты, чечевица, моллюски |
| Витамин Р (Кверцетин) | Вырабатывает антитела, антиоксидант, противовоспалительный естественный краситель | 25-50 мг | Брокколи, лук, помидоры, ярко окрашенные овощи и фрукты |
| Витамин В9 (фолиевая кислота) | Нормализует обмен веществ, стимулирует производство красных кровяных телец | 200-400 мг | Капуста, орехи, семечки, соя, фасоль, огурцы. |
Чего нельзя делать, если заметили белые пятна на деснах.
- Трогать и раздражать пораженные участки кожи.
- Прижигать веществами, содержащими спирт.
- Принимать в пищу острые и горячие продукты.
- Обрабатывать ранки во рту маленьких детей средствами, содержащими лидокаин.
- Лечить детей с помощью народных средств.
- Заниматься самолечением, во избежание осложнений.
Откажитесь от острых продуктов
Обратите внимание! Белое пятнышко на десне ребенка обычно является признаком прорезающегося зуба, а не какой-нибудь болезни.
Симптоматика и правильные действия
Десна и зуб мудрости, симптомы воспаления которых мы привели выше, с развитием процесса могут иметь и другие признаки:
- спазмы – пульсирующие боли в районе отека десневых тканей, а также в разных областях головы;
- повышение температуры, как десны, так и тела;
- болезненность при глотании;
- зловонный запах изо рта;
- гной, вытекающий из «капюшона»;
- ухудшение самочувствия, сопровождающееся быстрой утомляемостью, сбоями в пищеварительной системе, тошнотой, головокружениями.
Возможные осложнения
При несвоевременном и некачественном лечении гнойников в области зуба развиваются серьезные осложнения.
К ним можно отнести:
- Появление пародонтоза, провоцирующее полную потерю зубов.
- Развитие воспалительного процесса в соединительных тканях челюсти.
- Образование наростов на мягких тканях десны, которые впоследствии могут стать причиной развития остеомиелита.
- Запущенные стадии патологии могут привести к заражению крови.
Важно! Постоянное инфицирование организма приводит к снижению его защитных функций и способствует появлению дополнительных патологий различных систем и внутренних органов.
Первая помощь
Если опухла десна у зуба мудрости, но по каким-либо причинам попасть на прием к стоматологу не получается, можно оказать себе первую помощь. Рассмотрим, как снять симптоматику собственными силами.
Скажем сразу – самостоятельное лечение не заменит осмотра и назначений стоматолога. Это всего лишь временное решение проблемы.
Сильные боли можно устранить болеутоляющими препаратами: «Темпалгином», «Найзом», «Дексалгином». Перед применением любого лекарства ознакомьтесь с инструкцией.
Также помогут противовоспалительные мази: «Холисал», тетрациклиновая, «Метрогил Дента». Снять воспаление можно и с помощью растворов «Стоматофита» или «Хлорофиллипта», спрея «Тантум Верде».
Когда десна сильно вздулась, нужно применить аппликации (примочки, компрессы) с применением перечисленных противовоспалительных мазей и растворов. Также предлагаем использовать нестероидные препараты, которые подавляют воспаление, боль и жар: «Ибупрофеном», «Диклофенаком».
Полоскания и запреты
Если воспалилась десна возле зуба мудрости, надо почаще полоскать рот обеззараживающими средствами: «Мирамистином», «Гивалексом», фурацилином — одну-две таблетки растворить в стакане слегка остывшего кипятка, использовать, когда полностью остынет.
Перечисленное лечение можно подкреплять народной медициной. Например, содовым раствором – чайная ложка порошка на стакан кипяченой воды комнатной температуры. Или растительными настоями на ромашке, листьях липы или смородины, репейнике, дубовой коре, тысячелистнике, череде, шалфее, мелиссе.
Если у зуба мудрости воспалилась десна , категорически запрещено прогревать это место. Иначе есть риск спровоцировать быстрое распространение инфекции в другие области рта. Нельзя употреблять алкогольные напитки, а уж тем более, полоскать ими рот. Нельзя ковырять десну зубочисткой, нажимать на нее пальцем. И никаких антибиотиков – серьезное препараты должен назначать только доктор.
Квалифицированная терапия
Самостоятельное лечение не должно длиться больше двух-трех дней. После этого срока обязательно посещение стоматолога. В противном случае могут начаться осложнения: от инфицирования других частей рта до интоксикации организма.
Если воспалился зуб мудрости и десна, при острых болях доктор может провести обезболивающую блокаду – введение анестетика непосредственно в воспалительный очаг. Названия и время действия анестетиков мы рассматривали в статье «Больно ли удалять зубы мудрости».
Также доктор назначает антибиотики, антигистаминные препараты, сильные анестетики и противовоспалительные лекарства, курсы лазеротерапии или инфракрасного излучения. При необходимости – иссекает «капюшон».
При необходимости часть десны придется убрать
Если вокруг третьего моляра постоянно воспаляется десна, начались осложнения, и проводить терапию нет смысла – стоматолог избавляется от виновника проблем хирургическим путем. Ознакомиться с принципами операции можно в статье «Об удалении зубов мудрости».
Статья была вам полезной? Ставьте, пожалуйста, лайки и делитесь информацией с друзьями в социальных сетях.
Не забывайте писать комментарии, нам интересно, что именно вы делали, если вам пришлось столкнуться с воспалением десны у зуба мудрости.
Почему на деснах образовался светлый налет и о чем он может говорить
В идеале десны должны иметь однородный розоватый окрас. В том случае, если на слизистой полости рта проступили подозрительные белые пятна, стоит насторожиться – чаще всего они свидетельствуют о присутствии каких-то патологических процессов в организме. Причиной формирования белого налета на деснах может стать низкий уровень гигиены или, например, процедура отбеливания. Однако спровоцировать подобный симптом может и серьезное заболевание – лейкоплакия, абсцесс, онкология.
Профилактика
Четких профилактических мер для предотвращения белого налета не существует. Все действия направлены на укрепление иммунитета и поддержание здорового состояния полости рта. К основным способам относят:
- Регулярная правильная гигиена зубов и десен.
- Полноценное питание.
- Осмотры в стоматологии раз в полгода.
Профилактика помогает снизить риск возникновения заболевания полости рта и предупредить образование белого налета. Также рекомендуют употреблять еду умеренной температуры, отказаться от курения и периодически принимать витаминные комплексы.
Светлый налет на десне – еще не повод впадать в панику
Налет на слизистой полости рта является рассадником болезнетворных бактерий. При отсутствии каких-либо патологических процессов в организме такой симптом может говорить о недостаточной гигиене. Обычно естественный налет можно обнаружить утром после пробуждения, и в этом случае он легко удаляется с помощью обычной зубной щетки и пасты. Его присутствие на языке и деснах – вполне естественное и нормальное явление, которое обеспечивает определенную степень защиты полости рта от патогенной микрофлоры. Тем не менее, если человек не будет систематически чистить зубы и ухаживать за полостью рта, налет на зубах у десны очень скоро начнет затвердевать и в итоге преобразуется в зубной камень, удалить который можно будет только в кабинете стоматолога.
Другой вопрос, если пленку не получается убрать самостоятельно. В таких случаях она обычно имеет плотную консистенцию, может проявляться как в виде сплошной застила, так и в форме бляшек. Такой симптом указывает на присутствие в полости рта или в организме каких-либо патологических процессов, поэтому в этом случае нужно обязательно обратиться к врачу. Справиться с проблемой можно будет только после постановки точного диагноза, а любые попытки самостоятельно устранить налет не приведут к нужным результатам, если вовсе не усугубят положения дел.
Естественные процессы
Чаще белый налет на месте бывшего зуба – это естественная «повязка» на ранке. Он означает, что заживление идет правильно. Восстановительный процесс состоит из нескольких этапов.
В день после удаления в лунке формируется кровяной сгусток. Он защищает ранку от попадания бактерий, остатков пищи, препятствуя возникновению воспаления. Сгусток красно-бордового цвета заполняет лунку и выступает за края. При этом десна отечная и покрасневшая.
Через день после процедуры ранка становится уже, отек и покраснение сохраняются. Сверху на лунке образуется белый налет, состоящий из фибрина. Это белок, производящийся при свертывании крови. Возникая на поверхности, он запечатывает рану, защищая от попадания инфекции и помогая скорейшему заживлению.
Через 2-3 дня (до недели) отек и покраснение исчезают, фибриновый слой по-прежнему покрывает устье. Через две недели ранка затягивается. Однако внутренние восстановительные процессы длятся до полугода.
Таким образом, при нормальном заживании ранки белый налет – естественное явление. Его не требуется удалять, и обращаться к врачу нет необходимости.
Какие еще симптомы могут проявляться
Если дело не в низком уровне гигиены ротовой полости, и налет никак не получается удалить самостоятельно, речь идет о конкретном патологическом состоянии. В этом случае пациенты нередко испытывают и сопутствующие симптомы. Среди самых частых признаков проблемы неприятный запах изо рта, зуд, отекание и покраснение мягких тканей, появление на десне мелких язвочек и прочих новообразований. Чтобы назначить необходимое лечение, для начала врачу необходимо провести осмотр полости рта пациента, принять во внимание сопутствующие жалобы, при необходимости взять анализы и соскоб.
Только анализы могут определить истинную причину проблемы
Какие лекарства можно использовать?
Если воспаление сопровождается болевым синдромом, можно воспользоваться гелями, в состав которых входит лидокаин. Это один из самых сильных и быстродействующих анестетиков местного действия. Он входит в состав следующих гелей:
Хороший лечебный эффект дает использование гелей, в состав которых кроме обезболивающего компонента входят антисептики, например, хлоргексидин. К таким лекарствам можно отнести гели «Инстиллагель» и «Катеджель». Они обладают выраженным противомикробным, антимикотическим и бактерицидным действием, обеспечивают санацию полости рта и помогают быстро справиться с воспалительными процессами.
Препараты против воспаления десен
При необходимости врач может назначить прием препаратов для внутреннего применения, но использовать их следует строго по назначению врача. При несильном воспалении, а также для профилактики осложнений после сложного стоматологического лечения врач может назначить противомикробные средства широкого спектра, например, «Метронидазол» (по 1 таблетке 2-3 раза в день в течение 10 дней).
При признаках гнойного процесса, высокой температуре, сильной отечности и болезненности показан прием антибиотиков из группы фторхинолонов, цефалоспоринов, макролидов или полусинтетических пенициллинов. Минимальная длительность их применения – 5 дней (максимальная – до 10 дней). Лечение кист может быть проведено хирургическим путем.
Воспаление десен после лечения зубов может быть серьезной стоматологической патологией, но в большинстве случаев удается избежать тяжелых последствий и осложнений, если своевременно обратиться к врачу. Посещение стоматолога после лечения обязательно, если на второй-третий день воспаление не проходит, сопровождается болевым синдромом, температурой, покраснением и образованием припухлости.
Образовавшееся на десне белое пятно служит индикатором различных заболеваний ротовой полости. Некоторые из них с легкостью поддаются лечению даже в домашних условиях, к примеру, травмирование твердой пищей. Другие же являются более серьезными и требуют незамедлительного вмешательства квалифицированного доктора.
Образование белого пятна на десне после удаления зуба
Удаления зуба является сложной травматической операцией, после проведения которой нередко возникают осложнения. Одно из них – альвеолит. Это светлый, слегка сероватый налет, покрывающий лунку в месте удаления зуба.
Основные причины такого беловатого пятна:
- использовался нестерильный инструмент;
- при удалении в лунку попали осколки зуба или зубной камень;
- несоблюдение пациентом предписаний врача по уходу в послеоперационный период за ротовой полостью;
- ослабший иммунитет пациента, не способный справиться с гноеродными бактериями, и т.д.
Появление на десне белого пятна, которое к тому же еще и болит, является сигналом для пациента немедленно обратиться к стоматологу.
Если белое пятно на десне появилось после лечения зуба
Беловатое пятнышко может стать результатом травмирования десны из-за неаккуратно поставленной пломбы или брекета. Дантист с легкостью устранит причину этого явления, и дефект со временем сам пройдет.
Также белые пятна после лечения зуба могут быть признаком свища. Возможно, произошло инфицирование, скопился гной и требуется комплексное и квалифицированное лечение.
Если при лечении использовался нестерильный инструмент, возрастает шанс заразиться грибком Кандида. Один из симптомов заражения является белое пятно (в народе называют молочницей).
После укола в десну тоже может появиться белое пятно. Если оно не проходит за 2-3 дня или начало увеличиваться в размерах, нужно обязательно обратиться к дантисту.
Частые причины образования белого налета на деснах
Итак, почему на зубах, около десен и на других участках слизистой рта появляется светлый налет и что это может значить? Как уже отмечалось выше, самой частой причиной проблемы является недостаточный уход. Среди других распространенных провоцирующих факторов эксперты выделяют появление на десне новообразований, последствия стоматологических манипуляций и обострение заболеваний. Рассмотрим все эти причины подробнее.
Факторы, приводящие к проявлению симптома у взрослых
Светлый налет на слизистой у взрослых – довольно частое явление после профессионального отбеливания. Также тонкая пленка на десне может образоваться после ополаскивания полости рта антисептическим средством. Это временное явление, которое самостоятельно исчезает в течение нескольких суток. Также подобная проблема может возникнуть из-за недостатка в организме некоторых минералов и витаминов, после удаления зуба. В последнем случае рассматриваемый симптом становится осложнением, которое возникает по причине инфицирования раны. В подобной ситуации десневые ткани также отекают, устилаются светлой пленкой, а человек мучается от сильной боли.
Итак, ниже перечислены самые распространенные патологические состояния, приводящие к образованию белесого налета на десне:
Что можно сделать в домашних условиях?
Мы уже определили то, почему при обнаружении белого прыща на десне нужно отправляться к врачу. Очень важно установить причину проявления пятен. Само же лечение язв на десне проводят в домашних условиях. Пациенту назначают схему, которой он должен придерживаться.
Что же можно сделать до похода к врачу? Ведь неприятные симптомы могут застать врасплох человека вечером или в выходной день.
Существует несколько советов, которые помогут облегчить ситуацию. Но применять рецепты нужно только в том случае, когда нет возможности быстро обратиться к специалисту:
- Независимо от причин появления язв на десне, ситуацию облегчит полоскание антисептическим раствором. Его можно приобрести в аптеке (Хлоргексидин, Фурацилин Элюдрил, Этоний) или приготовить самостоятельно. Добавьте на один стакан теплой воды по 1 ч. л. соли и соды, размешайте и проводите процедуры каждые 2 часа. Такие меры приостановят действие патологической микрофлоры, помогут снизить отечность, зуд, боль.
- Можно приготовить настой из целебных трав. В нашем случае нам нужны растения, обладающие противовоспалительными, антисептическими, регенерирующими свойствами. Для этих целей хорошо подойдут шалфей, ромашка, календула, дубовая кора. Растения можно использовать для заваривания: как по отдельности, так и в сборе. Для приготовления целебного раствора необходимо 2 ст. л. измельченных трав залить кипятком. Все настаивают в течение нескольких часов, процеживают и используют для полосканий.
- Прополис обладает мощным антибактериальным действием и регенерирующими свойствами. Поэтому при заболеваниях слизистой оболочки его можно и нужно применять. Настойку приобретают в готовом виде или делают самостоятельно. Для этого 20 гр. продукта нужно залить спиртом (70%). Через три дня он будет готов. Хранится средство достаточно долго в холодильнике. Для того чтобы приготовить раствор для полосканий нужно в стакан воды добавить 2 ч. л. готовой настойки. Процедуру проводить не менее 5 раз в день.
Специалисты предупреждают о том, что, если язва на десне или другие патологические образования не проходят за несколько дней, то нельзя заниматься самолечением. Особенно если эти симптомы сопровождаются другими неприятными явлениями.

Локализованный гингивит
Генерализованный периодонтит
Легкая форма
Средняя форма





