Человеческая стопа имеет сложное строение: скелет, мышцы, связки, сухожилия, ткани. Это механизм, подвергающийся множественным нагрузкам, он обеспечивает двигательную активность человека, амортизируя удары при ходьбе, беге, прыжках. 26 костей ступни тесно взаимосвязаны, повреждение одной ведет к нарушению функционала остальных.
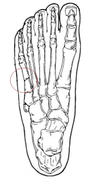
Касаемо костей стопы — перелом в четверти случаев приходится на трубчатые плюсневые кости. Их пять, локализуются они между фалангами пальцев и предплюсной. Распознать травму самостоятельно трудно, путая ее с сильным ушибом.
Пострадавшие задают вопросы врачу: как долго зарастает перелом, сколько ходить в гипсе, нужно ли оперативное вмешательство.
Медицина часто соприкасается с травматизмом пятой плюсневой кости. Расположена она по наружному краю ступни, поэтому наиболее подвижная и незащищенная.
Причины
Виновники нарушения анатомической целостности плюсны:
- чрезмерная физическая активность — бег, паркур, тренажерный зал;
- ослабленные суставные и костные ткани, остеопороз у пожилых — провокатор перелома при малейшем ушибе;
- неправильное приземление после прыжка — частая причина травмирования в детском возрасте из-за слабого голеностопа);
- падение тяжести на ногу;
- неудобная обувь;
- ушибы;
- дорожно-транспортные происшествия и др.
Врачи отмечают, что лечение перелома пятой плюсневой кости стопы требует индивидуального подхода. В большинстве случаев, если перелом не смещён, достаточно консервативной терапии, включающей иммобилизацию с помощью специальной обуви или гипса. Однако при смещении фрагментов может потребоваться хирургическое вмешательство для восстановления правильного положения кости. Важно также учитывать возраст пациента, уровень активности и наличие сопутствующих заболеваний. Реабилитация играет ключевую роль в восстановлении функции стопы, и врачи рекомендуют начинать физиотерапию как можно раньше. Правильный подход к лечению и соблюдение рекомендаций специалистов способствуют успешному выздоровлению и минимизации риска осложнений.

Симптомы
Человек чувствует острую боль при травмировании, сопровождаемую характерным треском.
- Перелом 5 плюсневой кости стопы сопровождается болевым синдромом при любой нагрузке, на ногу невозможно наступить. Клиника травмы определяется гиперемией (покраснением), припухлостью, образуется гематома. Изменяется внешний вид пальца ноги: он неестественно откланяется в сторону, визуально укорачивается.
Поврежденная область опухает преимущественно днем в вертикальном положении ног, ночью отек менее выражен.
Первая помощь
Признаки перелома плюсны — повод скорейшего обращения к ортопеду для подтверждения диагноза и оказания медицинской помощи.
До обращения в травмпункт больному следует:
- Не нагружать стопу, не наступать на нее для предупреждения дальнейшей деформации кости.
- Приложить на пятнадцать минут холод к ноющей ноге: лед, продукт из морозильной камеры, холодное полотенце. Появится онемение в тканях, облегчится состояние. Повторить процедуру через час-полтора.
- Зафиксировать ступню эластичным бинтом. Это поможет сохранить статичность суставов, ограничить отекание. Если пальцы посинели — повязка тугая. Перевязка предпочтительна днем, во время сна она не имеет смысла.
- Положить конечность на подушку или другую возвышенность для снятия отечности.
- При нестерпимой болезненности принять обезболивающий препарат: Парацетамол, Кеторол и другие аналоги.
Исключить применение разогревающих мазей, растирание, массажирование. Не прикладывать к перелому грелку, не ходить в баню или горячую ванну. Последствия действий — улучшение кровотока, усиление опухания.
Если пятая плюсневая кость сломана без сильного смещения, пациент может добраться на прием самостоятельно, наступая на пятку. Если случай сложный, из раны торчит кость, пострадавшему нужно помочь – любая тревога ноги сопровождается режущими отголосками.
Открытый перелом требует дополнительной домедицинской помощи.
Этапы:
- Обеззараживание раны перекисью водорода или йодом. Йод наносится строго по окружности места ранения.
- Гемостаз (остановка сильного кровотечения). Если кровь бьет фонтаном, значит затронута артерия. Обильный кровяной поток останавливается жгутом. Он завязывается повыше раны на 1-2 часа. Прикрепляется шпаргалка для докторов, где указывается время перевязывания сосуда.
Большая кровопотеря опасна для жизни. При порезе вены рана прикрывается стерильным бинтом, не задевая торчащую кость.
- Снижение болевых ощущений. Облегчить состояние пострадавшего поможет внутримышечная инъекция анальгетика – эффект от укола достигается быстрее. При невозможности инъецирования, обезболивающий препарат принимается перорально в виде таблеток.
- Обездвиживание ноги ниже голени. Привязывание шины к стопе уменьшит болевые ощущения, помешает усугублению перелома. Можно привязать к ноге доску, палку, ветку. Если таких предметов нет, привяжите полотенцем, рубашкой, шарфиком больную ногу к здоровой.
- Доставка потерпевшего в стационар. В процессе транспортировки не следует тревожить ногу, она должна быть неподвижна, лучше положить ее повыше.
Своевременное оказание достационарной помощи при открытом ранении может сохранить человеческую жизнь.
Лечение перелома пятой плюсневой кости стопы вызывает много обсуждений среди пациентов и врачей. Многие отмечают, что первоначальные симптомы, такие как боль и отек, могут быть довольно интенсивными, что заставляет людей обращаться за медицинской помощью. Врачи часто рекомендуют рентген для подтверждения диагноза и определения степени повреждения.
Некоторые пациенты делятся опытом, что консервативное лечение, включая иммобилизацию с помощью гипса или специальной обуви, может занять от 4 до 8 недель. Однако важно помнить, что восстановление зависит от индивидуальных особенностей организма. Многие отмечают, что реабилитация, включающая физиотерапию, значительно ускоряет процесс заживления и помогает вернуть прежнюю подвижность.
Некоторые люди сталкиваются с осложнениями, такими как неправильное сращение кости, что требует дополнительного вмешательства. В целом, большинство пациентов согласны, что своевременное обращение к специалисту и следование рекомендациям врача играют ключевую роль в успешном восстановлении.

Типы переломов
Перелом пятой плюсневой кости стопы может случиться у основания, посередине, опасности подвержена шейка и головка косточки.
Существует две основных классификации переломов кости плюсны по природе повреждения:
- усталостный;
- полученный при травме;
Стресс-переломы
Люди со стабильными нагрузками на кость стопы — частые обладатели усталостных переломов. Так называются трещины, образовывающиеся в кости при регулярном напряжении, незначительных ушибах. Легкая атлетика, спортивная ходьба, гимнастика, танцы — часть перечня причин их появления.
Частые страдальцы – балерины, танцующие на кончиках пальцев, что вызывает давление на их ось. Профессиональные футболисты пинают мяч носком, постоянную нагрузку на него испытывают и конькобежцы.
К стрессовым переломам относят болезнь Дойчлендера. Названа она в честь ортопеда, установившего ее. Возникает чаще всего у женщин и служащих парней: у солдат достигается перегрузкой кости регулярными ударами об асфальт при маршировании. Плоскостопие является провоцирующим фактором болезни. По ее протеканию различают острые и хронические проявления.
Сперва область диафиза плюсны незначительно болит, затем припухает. Следующая стадия — образование субфасциальной плотной опухоли, которая делает невозможным наступание на стопу.
К другим провокациям травм относят неправильную форму стопы, высокий свод. Неудобная обувь также провоцирует проблему.
Предпосылки стрессовой травмы — ноющая боль в области голеностопа после чрезмерной активности. Поначалу она проходит после отдыха. По мере увеличения микротрещины болезненность увеличивается, к ней добавляется отечность. При пальпации этого места возникает острая боль. Иногда заболевший не обращает внимания на проблему, ожидая самостоятельного утихания неприятных ощущений. Бездействие грозит осложнениями: артроз, хроническая боль в стопе, хромота, деформация структуры костей, невозможность надевания обуви.
Больному трудно совершать пешие прогулки, долго стоять. Чтобы избежать осложнений и оперативного вмешательства, следует обратиться к травматологу. Полный покой конечности на протяжении нескольких недель поможет постепенному возвращению к прежней жизни.
Снизить воздействие нагрузки на нижние конечности поможет правильно подобранная беговая обувь, амортизирующая удары при беге. Неестественные ощущения при занятиях спортом должны остановить провоцирующие действия.
Видео
Видео — Операция припереломе пятой плюсневой кости
https://youtube.com/watch?v=lNhXMInhSfA%3Frel%3D0
Перелом в следствии травмирования
Неудачный прыжок, авария, резкое приземление на ногу, падение тяжести на нее, вывих — виновники оговариваемой проблемы.
Существует классификация переломов по виду его линии:
- поперечный;
- косой;
- в виде клина;
- т-образный.
По степени смещения и закрытости:
- Со смещением: характеризуются нарушением положения костных частей. Порождает риск неправильного сращения отломков.
- Без смещения: анатомия расположения костных частей сохранена.
- Закрытые: кожный покров целостен.
- Открытые: кожа повреждена, вид опасен занесением инфекции в прорез.
Перелом Джонса
Под переломом Джонса понимают нарушение целостности кости в зоне основания плюсны с малосильным кровоснабжением. Последний факт препятствует быстрому заживлению травмы. Причиной служат сильные нагрузки.
Отрывной
Тяга сухожилий при подворачивании стопы внутрь ведет к отрыву фрагмента кости основания плюсны и называется отрывным. Его можно не заметить, ссылаясь на растяжение связок голеностопа.
Как диагностируется
Травматолог ставит диагноз на основании жалоб, опроса пострадавшего, осмотра и прощупывания лодыжек, изучения снимка.
Доктор уточняет, при каких обстоятельствах получено повреждение, визуализируется отечность, покраснение ступни, осматриваются суставы.
Пациент жалуется на локализированную боль в ушибленном месте. Иногда она отдает на соседние кости. Врач осуществляет пальпацию голеностопа, всех его костей.
Боль при переломе усиливается при потягивании пальца, нажатии на подошвенную часть. Травматолог захватывает палец и надавливает на головку косточки.
Рентгенограмма не всегда информативна при микротравмах от усталостных повреждений костей плюсны: аппарат не сканирует небольшие трещинки, требуется наблюдение в динамике и выявления анамнеза. На МРТ и КТ хорошо видны только надломы и последствия стресс-травм, например, образовавшуюся костную мозоль.
По заключению рентгена в двух-трех проекциях ставится диагноз.
В некоторых случаях для обнаружения усталостных трещин назначается остеосцинтиграфия – новейший способ диагностирования целостности костей скелета. В организм вводят контрастное вещество, оно излучается, отображая на экране места поражения. Процедура безопасна, не сильно воздействует на здоровье, менее вредна по сравнению с рентгеном.
Аппарат диагностирует микроскопические трещинки, заболевания, воспаления. Сцинтиграфия противопоказана беременным. Лактирующим женщинам необходимо сцедить грудное молоко после нее, заменить его смесью на пару дней. После больницы следует принять душ, постирать вещи, в которые был одет больной. Все спецматериалы с сеанса, включая шприцы, ватные тампоны, подвергаются утилизации в специальных автоматах.
Методы лечения ступни обуславливаются тяжестью травмы и местом ее нахождения.
Лечение
После постановки диагноза устанавливается тактика.
При закрытых переломах проводится иммобилизация стопы: накладывается гипс. Повязка максимально обеспечивает состояние покоя ноги. Через месяц ее снимают. Для облегчения передвижения используются костыли.
Часто этот метод применим к детям, которые не осознают, что двигать ножкой и наступать на нее нельзя.
При незначительном сдвижении кости врач вправляет ее, к конечности прибинтовывается лангета (шина). Она представляет собой съемную гипсовую пластину, прикрепляется к ноге для фиксации.
Если отсутствует сращение, перелом открытый, присутствуют многочисленные отломки, применятся оперативное вмешательство.
Когда требуется операция
Серьезные дефекты, сильная смещенность частей пятой плюсневой кости — показание к оперативному лечению. Два основных метода: открытое и закрытое вправление.
Закрытая репозиция
Чрескожная фиксация – широко применяемый в медицине метод: части сломанной кости скрепляются спицей.
Плюсами методики считается быстрота процедуры, она проводится без разреза, менее травматична.
Бывают случаи недостаточного сопоставления отломков. Неправильное срастание ведет к повторному оперированию. Концы фиксаторов выступают над кожным покровом, это создает неудобство и опасность попадания бактерий в места проколов.
После манипуляции больному накладывается гипс на несколько недель: состояние покоя необходимо в целях профилактики вторичного смещения и для скорейшего заживления травмы.
Открытая репозиция
Множественные или невправимые переломы, резаная рана оперируется методом открытой репозиции. Кожа рассекается скальпелем, предоставляя прямой доступ к переломанной плюсневой кости. Ее выравнивают, вправляют, производят остеосинтез: отломки фиксируются специальными винтами, пластинами и конструкциями в нужном положении, делая ногу неподвижной до срастания.
Выздоровление
Нахождение в гипсовой повязке исключает физические нагрузки на ногу. Рекомендуется ходить с костылями, чтобы избежать опоры на повреждение. Для предупреждения осложнений желательно ограничить подвижность нижней конечности. Гипс накладывается на месяц-полтора, при необходимости носится дольше.
Пациент должен наблюдаться у ортопеда, делать рентгенографию для выявления улучшений до выздоровления.
После освобождения от фиксирующей повязки в медицинском учреждении, начинается период реабилитации. В первое время надо соблюдать осторожность, вставать и передвигаться, опираясь только на пятку, плюсна не должна излишне напрягаться. Человеку назначаются восстанавливающие мероприятия продолжительностью в 1-3 недели.
Реабилитация
- Ортопед назначает физиологические процедуры, возвращающие подвижность опорно-двигательному аппарату, суставам, мышечной массе, сухожилиям.
- Лечебная физическая культура возвращает эластичность тканям, ступня становится подвижнее. Условие – прислушиваться к ощущениям, делать зарядку под наблюдением тренера, она эффективна при правильном выполнении комплекса. Основные упражнения: сгибание и разгибание пальцев, подъем на носки.
- Для разработки ступни следует ходить, постепенно увеличивая дистанцию.
- Хорошим эффектом обладает лечебный массаж, выполняющийся квалифицированным специалистом.
- Ношение ортопедических стелек или обуви от полугода до года. Это нужно для удержания стопы в правильной позиции, избегания плоскостопия.
- Прогревание ноги теплой водой, солевые или травяные ванночки: стимуляция кровообращения способствует регенерации тканей.
- Применение обезболивающих мазей.
- Плавание отлично возвращает функционирование частей ступни, минимально нагружая ее.
- Правильное питание. Включение в рацион кальция, витаминов, аминокислот насыщает организм важными элементами, восстановление достигается быстрее.
- Использовать массажер или подручные средства (скалка, стеклянная бутылка) для раскатывания ступни.
Курс полной реабилитации занимает от полутора до трех месяцев и дольше (только для нахождения в гипсе нужен месяц), он во многом зависит от характера болезни и приложенных усилий для ее излечения.
Последствия
При падении, ушибе важно обратиться к врачам для исключения диагноза, проблема серьезнее, чем кажется изначально.
Пренебрежение лечебными мероприятиями, советами докторов, ведут к серьезным осложнениям:
- Развитие заболеваний (артрит, остеопороз и др.).
- Нарушение структуры строения стопы.
- Срастание кости в неправильном положении. Проблема иногда приводит к полному онемению нижней части конечности. Исправить ее поможет повторное оперирование.
- Регулярные боли в конечности при длительном стоянии, ходьбе.
- Ограничение физических возможностей, пожизненная хромота.
- Ношение определенных видов обуви превращается в пытку. Об узких ботинках, каблуках придется забыть навсегда.
Последствия перелома пятой плюсневой кости стопы и то, сколько она заживает, обусловливается его локализацией, возрастом пострадавшего лица, квалификацией лечащего врача и силой реабилитационных приемов. В среднем период заживления составляет от полутора месяцев.
Стопы перелом у ребенка, даже в случае сильного смещения, заживает без значительных последствий при следовании предписаниям. Взрослого иногда беспокоят боли, проявляющиеся при сильных нагрузках, смене погоды.
При соблюдении условий прогноз на выздоровление благоприятный.
Вопрос-ответ
Каковы основные симптомы перелома пятой плюсневой кости?
Основные симптомы перелома пятой плюсневой кости включают боль в области стопы, отек, синяки и затруднение при ходьбе. Пациенты могут также заметить деформацию стопы или ощущение нестабильности при движении.
Как проходит диагностика перелома пятой плюсневой кости?
Диагностика начинается с физического осмотра, во время которого врач проверяет область повреждения на наличие отека и болезненности. Затем обычно назначается рентгенография для подтверждения диагноза и определения степени повреждения.
Каковы методы лечения перелома пятой плюсневой кости?
Лечение может варьироваться в зависимости от тяжести перелома. В большинстве случаев требуется иммобилизация с помощью гипса или ортеза. В более сложных случаях может потребоваться хирургическое вмешательство для стабилизации кости. Реабилитация включает физиотерапию для восстановления функции стопы.
Советы
СОВЕТ №1
Обратитесь к врачу сразу после травмы. Правильная диагностика и своевременное лечение перелома пятой плюсневой кости помогут избежать осложнений и ускорят процесс восстановления.
СОВЕТ №2
Следуйте рекомендациям по immobilization (иммобилизации) ноги. Используйте специальную обувь или ортез, чтобы обеспечить неподвижность поврежденной области и предотвратить дальнейшие травмы.
СОВЕТ №3
Регулярно выполняйте назначенные врачом упражнения для реабилитации. Это поможет восстановить подвижность и силу стопы, а также предотвратит атрофию мышц.
СОВЕТ №4
Обратите внимание на питание. Убедитесь, что ваш рацион богат кальцием и витамином D, которые способствуют заживлению костей и укреплению организма в целом.


