Раньше подагра считалась болезнью гениальных и достойных граждан и поражала преимущественно дворян. Заболевание относится к распространенным. В 95 случаях из 100 этому заболеванию подвержены мужчины. Первые признаки поражения у женщин отмечаются в возрасте около 50-ти лет, у мужчин – раньше, до 45-ти. В редких случаях в более молодом возрасте.
Обусловленная увеличением уровня мочевой кислоты, болезнь прогрессирует с увеличением пуринов в составе крови. Так как один из показателей , мочевая кислота , имеет повышенный уровень не только при этом, но и при других заболеваниях, то для постановки диагноза нужно всестороннее обследование и уточнение, какие именно анализы при подагре нужно сдавать.
Что такое подагра?
Данное заболевание относится к системным. Его вызывает нарушение обмена веществ в организме. Первыми при этом страдают суставы. Это связано с увеличением в них мочевой кислоты, которая откладывается в кристаллическом состоянии еще и в тканях.
Подагра часто сопровождается осложнениями, которые без должного лечения могут привести к летальному исходу. Болезнь затрагивает органы и ткани, что сказывается на общем состоянии здоровья.
Проявления у болезни такие , болезненность, покраснение и опухание возле пораженного сустава, места воспаления приобретают твердость кожного покрова, возможно повышение температуры. Образовывающийся нарост приводит в дальнейшем к деформации и ограничению подвижности.
Способствуют развитию болезни:
- несбалансированность питания, высокое употребление пуратов (преобладание мясных блюд, копченостей, животных жиров, бобовых),
- увеличение диссимиляции пуриновых нуклеотидов, которые не только поступают с пищей, но и производятся самим организмом,
- нарушения в выводящей системе и обменных процессах, которые наблюдаются часто при хронических заболеваниях почек,
- отягощенная наследственность с присутствием ферментопатии.
При прогрессировании развития болезни даже здоровые почки перестают справляться с выведением мочевой кислоты из организма, что еще больше усугубляет ситуацию.
Врачи подчеркивают важность комплексного подхода к диагностике подагры. Основным анализом является определение уровня мочевой кислоты в крови, так как ее повышенные значения часто свидетельствуют о наличии заболевания. Кроме того, специалисты рекомендуют проводить общий анализ крови для оценки общего состояния пациента и выявления возможных воспалительных процессов. Анализ мочи также может быть полезен для оценки выделения мочевой кислоты и выявления ее кристаллов. В некоторых случаях врачи могут назначить рентгенографию суставов для оценки степени повреждения. Таким образом, правильная диагностика и регулярные анализы помогают контролировать подагру и предотвращать обострения.

Методы диагностики
Диагностические мероприятия включают в себя такие обследования:
- инструментальные методы,
- лабораторные исследования,
- физикальные приемы.
В числе физикальных – осмотр самого пациента, опрос с целью выяснения жалоб, описание первых симптомов и наследственной предрасположенности к болезни. При этом врачом анализируются факторы, которые могут провоцировать развитие подагры и способны влиять на ее течение, онкологические и сопутствующие заболевания.
К таким проблемам со здоровьем можно отнести перенесенные ранее хирургические операции, патологию со стороны почек, долгий прием некоторых лекарственных средств. В числе причин, способствующих развитию заболевания – несбалансированное питание и вредные привычки. Какие анализы нужно сдать, и какие обследования пройти, назначается врачом индивидуально.
В большинстве случаев начальный этап болезни может никак себя не проявлять, а первые симптомы начинаются с поражения мелких суставов ног и рук.
Инструментальные исследования
При жалобах на суставы больных подвергают инструментальным методам обследования. Чем раньше пациент обращается за помощью, тем точнее на ранних стадиях может быть диагностировано заболевание. Такое изучение состояния здоровья позволяет исключить развитие других проблем со здоровьем, в том числе артрита.
К методам обследования относятся компьютерная томография, УЗИ, рентгенография и сцинтиграфия. Какое из обследований необходимо пройти, определяется врачом. Так, УЗИ, дает высокую эффективность только на этапе острого состояния. При этом заметны расширение щели сустава и воспаление с уплотнением прилегающих мягких тканей. Через неделю-полторы после обострения это исследование уже будет неинформативно.
При хронической форме болезни данным методом может быть выявлена деформация, определены места воспалений. Также при помощи УЗИ выясняются скопления уратов (специфических соединений, образовывающихся при избытке мочевой кислоты) в мочевом пузыре и почках.
Ураты представляют собой крошечные кристаллы, образованные соединением кальция и мочевой кислоты. Они обладают свойством накапливаться в виде отложений в тканях в районе суставов и в мочевыводящих органах.
При подагре важно правильно определить уровень мочевой кислоты в крови, поэтому анализ на её содержание становится одним из ключевых. Многие пациенты отмечают, что врачи рекомендуют также исследовать уровень креатинина, чтобы оценить функцию почек, так как они играют важную роль в выведении мочевой кислоты. Кроме того, анализ мочи может помочь выявить наличие кристаллов уратов, что подтверждает диагноз. Некоторые люди советуют не забывать о биохимическом анализе крови, который позволяет оценить общее состояние организма и выявить сопутствующие заболевания. Важно помнить, что интерпретация результатов должна проводиться врачом, который учтет индивидуальные особенности пациента.

Анализы крови при подагре
Лабораторная диагностика подагры позволяет врачу получить информативную картину происходящих в организме больного процессов. Это дает возможность контролировать образование и выведение мочевой кислоты на всех этапах. Также анализы крови и мочи позволяют отсечь вероятность других заболеваний со схожей симптоматикой.

Какие анализы сдают при подагре? Для начала больному придется сдать общий анализ крови. На начальной стадии заболевания изменений в составе крови может не быть совсем. При воспалении увеличивается состав лейкоцитов и повышается показатель СОЭ. При наличии сопутствующих заболеваний возможны и другие отклонения по составу крови при подагре.
Биохимический анализ крови на подагру относится к важным исследованиям. За счет него устанавливается гиперурикемия и уровень мочевой кислоты, повышение которого свойственно при болезни. Этот показатель – один из самых характерных для диагностики. Сдавать данный анализ при подагре на ногах нужно не только до лечения, но и после.
Анализ крови на подагру выявляет увеличение креатинина, мочевины, сахара и реактивного белка. Одновременно врачом анализируются показатели по кальцию, липопротеинам, ферментам и липидам. Это позволяет получить достаточно полную картину по особенностям работы организма, в том числе при вторичной форме.
Анализ мочи на содержание кислоты
Биохимический анализ мочи при подагре делают для выяснения уровня мочевой кислоты. Показатель может варьироваться в зависимости от приведших к заболеванию причин. При нормальном функционировании почек изменения в крови по мочевой кислоте будут соответствовать уровню в моче.
По результатам биохимии определяется эффективность работы почек. В результате анализа исследуются также показатели цвета, плотности и т.д.
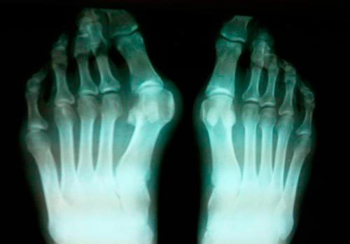
Рентгенологическое исследование на поздних сроках развития заболевания
Этот метод исследования активно используется при установлении диагноза. Исследованию подвергаются суставы кистей рук и стоп. Поражение большого пальца ноги рентгенологическим исследованием дает врачу картину состояния костей и хрящей. На руках тофусы будут заметны при хроническом характере болезни.

Компьютерная томография позволяет при помощи серии точных рентген снимков провести качественное исследование. При этом с высокой точностью определяется степень деформации сустава и локализация зоны воспаления. Даже на начальном этапе болезни будут видны уплотнения тканей возле сустава. Рентгенологическое исследование необходимо для определения диагноза и исключения вероятности развития других заболеваний, которые тоже могут поражать суставы.
Для уточнения диагноза на ранних стадиях больному может быть назначена сцинтиграфия. Такое исследование помогает в установке диагноза при смазанной картине заболевания. Процедура состоит из введения в кровь специального вещества – пирофосфата технеции, которое обладает свойством сосредотачиваться в местах отложения уратов.
Изучение содержимого полости сустава
Пункция сустава с забором синовиальной жидкости позволяет установить уровень солей мочевой кислоты и лейкоцитов. Если выявляется в цитоплазме урат натрия, то подагрическая патология подтверждается.

При изучении плотных образований под кожей обнаруживается пастообразное содержимое или кристаллические вещества, что позволяет при подозрении на заболевание назначать эти анализы пациентам. Пункцию выполняют без обезболивания, которое может повлиять на достоверность изучения содержимого сустава.
Синовиальную жидкость всесторонне исследуют по многим параметрам. В числе прочего, обращается внимание на вхождение фагоцитов, говорящее о воспалении. При этом уровень лимфоцитов оказывается пониженным, а нейтрофилов – повышенным.
Диагностика заболевания, включающая анализ мочи, крови и другие исследования, может быть сложной из-за наличия других болезней, которые имеют похожие симптомы. Точное определение диагноза возможно только врачом после всестороннего обследования.
https://youtube.com/watch?v=tBaQA2RaLBg%3Fautohide%3D0%26autoplay%3D0%26mute%3D0%26controls%3D1%26fs%3D0%26loop%3D0%26modestbranding%3D1%26playlist%3D%26rel%3D0%26showinfo%3D1%26theme%3Ddark%26wmode%3D%26playsinline%3D0
Вопрос-ответ
Какой анализ надо сдать, чтобы узнать, есть ли у тебя подагра?
Биохимический анализ крови при подагре является наиболее важным, так как позволяет оценить уровень мочевой кислоты в сыворотке крови. Нормальным считается значение, не превышающее 420 мкмоль/л у мужчин, еще ниже (до 360 мкмоль/л) он должен быть у женщин.
Какие обследования нужны при подагре?
Лабораторная диагностика включает в себя: Общий анализ мочи – среда кислая, присутствуют ураты. Общий анализ крови – повышен уровень нейтрофилов, РОЭ. Анализ венозной крови на мочевую кислоту – проводится строго натощак. Запрещено принимать мочегонные средства, форсировать диурез любыми методами накануне исследования.
Что повышается в крови при подагре?
Подагра возникает, когда в крови повышается уровень мочевой кислоты. Соли мочевой кислоты начинают оседать в суставах и окружающих их тканях, вызывая воспаление и сильную боль.
Как называется анализ крови на мочевую кислоту?
Метод определения Энзиматический (уриказный). Исследование мочевой кислоты применяют в диагностике и контроле лечения подагры, оценке риска мочекаменной болезни. Синонимы: Анализ крови на мочевую кислоту, Пурин-2, 6, 8-трион, Тригидроксипурин, 2, 6, 8-триоксипурин, Гетероциклический уреид мочевины.
Советы
СОВЕТ №1
Перед сдачей анализов обязательно проконсультируйтесь с врачом. Он поможет определить, какие именно тесты необходимы в вашем случае, и объяснит, как правильно подготовиться к их сдаче.
СОВЕТ №2
Обратите внимание на уровень мочевой кислоты в крови. Это ключевой анализ при подагре, так как повышенный уровень может указывать на риск обострения заболевания.
СОВЕТ №3
Не забывайте о необходимости периодического контроля функции почек. Подагра может негативно сказываться на работе почек, поэтому важно следить за их состоянием через соответствующие анализы.
СОВЕТ №4
Записывайте все результаты анализов и обсуждайте их с врачом. Это поможет вам лучше понять динамику заболевания и корректировать лечение при необходимости.