Согласно статистике, травмирование пальцев нижних конечностей – явление довольно распространенное. Основное место среди всех повреждений отводится переломам. Причем получить их можно в привычных ситуациях, достаточно лишь подвернуть ногу либо ударить ее о предмет мебели.
Не все люди без медицинского образования знают, как определить перелом. В повседневной жизни полезно иметь представление о симптомах и разновидностях этой травмы. Это поможет быстро сориентироваться, если есть перелом большого пальца ноги, и оказать пострадавшему доврачебную помощь.
Классификация переломов
Указанные повреждения могут быть двух видов:
Зачастую основной процент всех случаев приходится на закрытые переломы, без повреждения кожных покровов.
Любая из травм возможна как со смещением, так и без оного.
Смещение костных отломков бывает нескольких разновидностей:
- Угловое. Редкое явление, зачастую встречающееся у детей, что объясняется эластичностью надкостницы. Она удерживает частично поврежденную кость, смещая отломанную часть в противоположном направлении.
- Боковое. Встречается очень редко.
- Продольное расхождение. Происходит, если на участке перелома были значительно травмированы мышцы и связочная структура.
- Продольное захождение. Диагностируется чаще предыдущего варианта. Обусловлено сокращением мышц и стягиванием близлежащих тканей, которые и смещают обломки костей.
- Вклинение. Редкий случай, поскольку основной удар приходится по направлению продольной оси пальца. Вклинение возможно при серьезной деформации хрящевой ткани. Для этого процесса характерно возникновение подсуставных трещин.
Количество отломков кости так же привнесло свой вклад в классификацию переломов.
Можно разделить последние следующим образом:
- Безоскольчатые. Характерные травмы при падении.
- Одно- или двухоскольчатые. Объясняются ударами, нанесенными тупым предметом.
- Многооскольчатые. Встречаются при повреждении неровным предметом (к примеру, камень).
Линия разлома классифицирует переломы на:
- Поперечные.
- Косые.
- Продольные.
- Винтообразные.
- S – образные.
- T – образные и иные.
Возможны следующие травмы:
- Перелом основой фаланги.
- Перелом ногтевой фаланги.
- Перелом средней фаланги.
Возможны случаи повреждения сразу нескольких участков. Если судить о большом пальце ступни, то его перелом занимает отдельную позицию, что обусловлено наличием лишь двух фаланг. В данном случае можно говорить о более ярко выраженной симптоматике ввиду воздействия на палец максимальной нагрузки при передвижении.
При переломе большого пальца на ноге врачи рекомендуют не паниковать и следовать нескольким важным шагам. В первую очередь, необходимо обеспечить покой поврежденной конечности. Рекомендуется поднять ногу выше уровня сердца, чтобы уменьшить отек. Если есть сильная боль, можно принять обезболивающее средство. Важно избегать нагрузки на палец и не пытаться самостоятельно вправить его.
После этого следует обратиться к врачу для диагностики и назначения лечения. В большинстве случаев потребуется рентген, чтобы определить степень повреждения. В зависимости от характера перелома, может быть назначена иммобилизация с помощью шины или специальной обуви. В тяжелых случаях может понадобиться хирургическое вмешательство. В любом случае, важно следовать рекомендациям врача и не забывать о реабилитации, чтобы восстановить полную функцию пальца.

Признаки травмы
Симптомов перелома большого пальца на ноге достаточно много, и все они имеют свою классификацию. Можно разделить все признаки на достоверные и вероятные.
Вероятные симптомы
Таковыми являются:
- Болезненные ощущения в поврежденном пальце.
- Отечность, гиперемия кожи в травмированной области.
- Увеличение температуры поврежденных тканей.
- Ухудшение или полное отсутствие движения сломанным пальцем.
- Увеличение болезненного дискомфорта при постукивании по травмированному участку.
- Вынужденное (и зачастую неправильное) положение сломанного пальца.
Переломы такого характера сопровождаются интенсивными болями, которые, однако, можно смело отнести к разряду терпимых. Пострадавший не потеряет сознание от болевого шока.
Ввиду большого количества нервных окончаний в надкостнице, основная болезненность приходится как раз на момент травмирования кости. Дальнейший ощутимый дискомфорт носит более тупой характер, а провоцируют его возникновение отечность, воспаление и потеря крови.
Развитие воспалительного процесса происходит благодаря серотонину, брадикинину и гистамину. Эти вещества выделяются в кровь человека при каком-либо повреждении. Результатом их воздействия является увеличение температуры тканей травмированного участка, а также отечность и гиперемия кожных покровов. Несколько купировать болезненность поможет правильно подобранное положение для сломанного пальца.
Чтобы убедиться в наличии ушиба или перелома, надо слегка постукивать по краю травмированного пальца. Если одна из фаланг сломана, в этом месте возникнет болезненность, чего нельзя сказать о случаях ушибов. Важно: при малейшем подозрении на смещение осколков кости проводить указанный тест запрещается. Это может стать причиной более серьезного сдвига отломков, и, как следствие, ухудшения ситуации.
Если у вас сломан большой палец на ноге, важно не паниковать и следовать нескольким простым рекомендациям. Многие люди советуют сначала обратиться к врачу для диагностики и получения профессиональной помощи. Врач может назначить рентген, чтобы подтвердить наличие перелома и определить его тип.
После этого часто рекомендуют использовать лед для уменьшения отека и боли. Также стоит ограничить нагрузку на ногу и, по возможности, использовать костыли или трость. Некоторые люди делятся опытом использования специальной обуви или ортезов для поддержки поврежденного пальца.
Не забывайте о важности покоя и восстановления. Восстановление может занять от нескольких недель до нескольких месяцев, в зависимости от тяжести травмы. В это время стоит следить за состоянием ноги и при необходимости повторно консультироваться с врачом.

Достоверные симптомы
К таковым относят:
- Костный дефект фаланги, диагностировать который удается при прощупывании.
- Непривычно подвижная фаланга.
- Хруст осколков костей при постукивании.
- Поврежденный палец имеет меньшие размеры в сравнении с аналогичным на здоровой ноге.
- Потенциально сломанный палец визуально деформирован.
Наличие у пациента перечисленных признаков дает абсолютное основание полагать, что имеется перелом. Прощупывать большой палец на ноге лучше максимально бережно, поскольку для всех действий характерна сильная боль. Зачастую специалист обходится лишь рентгеном. Но если есть необходимость, лучше доверить эти манипуляции квалифицированному врачу.
Доврачебная помощь
Лечебная помощь, оказываемая пострадавшему до приезда врачей, заключается в следующих действиях:
- Избавление от фактора, наносящего травму. Пострадавшего необходимо удобно усадить, а травмированную конечность разместить на возвышении.
- Обезболивание. Самый простой способ – использовать таблетированные медикаменты. Если есть возможность, лучше ввести анальгетик внутримышечно.
- Когда у пациента имеется открытая рана, ее обрабатывают антисептиком и накладывают специальную стерильную повязку.
- Когда есть вероятность сдвига осколков костей, необходимо обеспечить неподвижность травмированному пальцу. Иные ситуации требуют лишь расположения ноги на возвышенной поверхности. Иммобилизацию большого пальца ноги можно выполнить путем использования двух карандашей или покрытых материалом пластин. Необходимо с обеих сторон приложить их к пальцу и забинтовать. Если перелом наблюдается на каком-либо другом пальце, можно обойтись без применения шины. Достаточно наложить повязку, фиксируя палец, который сломан, и рядом стоящий здоровый.
- Снизить кровотечение и несколько купировать боль поможет прикладывание холода к травмированному участку. Длительность холодной повязки – не более 10 минут с перерывом в 2-4 минуты, во избежание обморожения.
- Перемещение пострадавшего в медицинское учреждение стоит осуществлять при помощи машины Скорой. Допускается самостоятельная транспортировка, достаточно аккуратно выполняемая.
Все оказываемые до приезда медиков действия должны быть нацелены на купирование боли, остановку кровотечения и обеззараживание ран. Обездвиживание травмированного пальца играет одну из ключевых ролей.
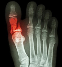
Диагностика
Основной метод выявления перелома пальца на ноге – проведение рентгенографического обследования. Зачастую изображения делают в двух проекциях. Это позволяет специалисту оценить масштабы поражения, выявить место разлома, наличие смещений отломков и пр.
Избавление от перелома
Подбор терапии и лечение осуществляется на основании клинической картины повреждения.
Чтобы обеспечить срастание костей, специалист использует одну из следующих методик:
- Закрытая одномоментная репозиция.
- Скелетное вытяжение.
- Открытая репозиция.
Если перелом открытый, необходимо начать прием антибиотиков, чтобы предупредить развитие осложнений гнойного характера. В случае необходимости возможно осуществление вакцинации от столбняка.
Закрытая одномоментная репозиция
Лечить с ее помощью нужно в случае, если перелом закрытый и произошло смещение отломков. В первую очередь следует обезболить травмированную область. Для этого сначала выполняют тест на наличие аллергии, а после вводят анестетик местного действия в близлежащие ткани.
Как только анестезия начала действовать, врач должен плавными движениями вытягивать поврежденный палец. Процедура сопровождается возвращением осколков кости в нужное положение.
Когда манипуляции завершены, следует убедиться в подвижности всего связочного аппарата (межфаланговые суставы и плюснефаланговые). При обнаружении какого-либо неподвижного участка, репозиция выполняется еще раз. Когда связочный аппарат полностью подвижен, палец иммобилизируют гипсовой повязкой или иным методом.
Скелетное вытяжение
Требуется, если выполнение репозиции не представляется возможным. Исключить расхождение обломков костей можно с помощью выполнения некоторых действий. Они оттягивают и поддерживают дистальный отломок.
Перед тем, как начать процедуру, следует местно обезболить травмированную область. Специалист проводит капроновую нитку (или специальную булавку) через ноготь или кожу. Концы нитки связывают, образуя своеобразное кольцо. В дальнейшем на гипс крепят проволочный крючок для фиксации этого кольца в нужном положении.
Ношение гипса затянется на 14-21 день. Необходимо каждый день обрабатывать антисептиком место, где была проколота кожа или сломан ноготь. Спустя указанное время врач удалит булавку (нить), а поврежденный палец для полного выздоровления будет вновь иммобилизован на аналогичный срок.
Открытая репозиция
Иначе говоря, внутрикостный остеосинтез. Для его проведения необходимы следующие показания:
- Открытая форма перелома.
- Многооскольчатая травма.
- Осложнения после лечения иными способами.
Указанная операция позволяет визуально контролировать процесс восстановления кости. При этом отломки надежно фиксируются посредством специальных металлических конструкций.
В процессе врач использует шурупы, спицы, проволоку и пластины, осуществляя выбор согласно клинической картине травмы. По окончании операции палец обездвиживают путем использования лангеты или гипсовой повязки. Срок иммобилизации – до 8 недель.
При определенных сложных случаях используется великое приспособление — аппарат Илизарова, который, однако, не очень удобен ввиду своей громоздкости.
Видео
Видео — Перелом большого пальца ноги
https://youtube.com/watch?v=6Er9EWn_Xn0%3Frel%3D0
Период реабилитации
Его продолжительность напрямую связана с клинической картиной травмы, а также способом ее лечения. Зачастую период восстановления длится не более 4 недель, но в сложных случаях (например, многооскольчатые переломы) затягивается на 1,5-2 месяца. При наличии каких-либо осложнений реабилитационное время значительно замедляется.
Вернуть поврежденному пальцу утраченные функции помогут:
- ЛФК.
- Массажные процедуры.
- Физиотерапия (ванночки с содой и солью, УВЧ, механотерапия и пр.).
Что делать, если признаки перелома большого пальца выявлены у ребенка? Вне зависимости от возраста необходимо обращение к врачу-ортопеду. Важно: самостоятельное (и, как следствие, некорректное) лечение перелома чревато большим количеством серьезных осложнений . После обследования специалист подберет терапию в соответствии с характером травмы. Соблюдение всех рекомендаций ортопеда сделает лечение перелома менее длительным.
Вопрос-ответ
Как определить, сломан ли большой палец на ноге?
Чтобы определить, сломан ли палец, обратите внимание на такие симптомы, как сильная боль, отек, синяки и затрудненное движение. Если палец выглядит деформированным или вы слышали треск при травме, это может указывать на перелом. Важно обратиться к врачу для рентгеновского обследования для подтверждения диагноза.
Как оказать первую помощь при травме большого пальца на ноге?
При травме большого пальца на ноге рекомендуется следовать принципу RICE: отдых, лед, компрессия иElevation (поднятие). Наложите лед на поврежденное место на 15-20 минут, чтобы уменьшить отек. Убедитесь, что нога находится в приподнятом положении, чтобы снизить приток крови к травме.
Когда следует обратиться к врачу после травмы пальца?
Обратитесь к врачу, если вы испытываете сильную боль, отек не уменьшается, палец выглядит деформированным, или если вы не можете двигать пальцем. Также стоит посетить врача, если у вас есть открытая рана или признаки инфекции, такие как покраснение и гной.
Советы
СОВЕТ №1
Обратитесь к врачу для диагностики. Даже если вы подозреваете, что палец просто ушиблен, важно получить профессиональную оценку. Врач может провести рентген, чтобы исключить перелом и назначить правильное лечение.
СОВЕТ №2
Применяйте лед для уменьшения отека. В первые 48 часов после травмы прикладывайте лед к поврежденному месту на 15-20 минут каждые 1-2 часа. Это поможет снизить воспаление и облегчить боль.
СОВЕТ №3
Обеспечьте правильную фиксацию пальца. Если врач подтвердил, что палец не сломан, можно использовать бинт или специальные шины для поддержки и ограничения движения. Это поможет избежать повторной травмы и ускорит процесс заживления.
СОВЕТ №4
Не забывайте о покое и избегайте нагрузки на поврежденную ногу. Постарайтесь не ходить и не нагружать палец в течение первых нескольких дней после травмы. Это даст возможность организму восстановиться и предотвратит осложнения.


