Когда движения начинают доставлять боль, тяжело подниматься по ступенькам, утром невозможно встать с кровати, приходится обращаться за помощью к врачу. После диагностики нередко пациент узнает, что у него полиостеоартроз коленного сустава.
Особенности полиостеоартроза
Это хроническое заболевание, которое не имеет воспалительной природы, вызвано поражением суставов и его составных частей. Возникает оно в основном у людей старшей возрастной группы – кому исполнилось более 50 лет, но и молодые люди тоже входят в эту группу риска, хотя гораздо реже.
Как и все болезни, полиостеоартроз имеет свои специфические черты.
Развитие недуга происходит таким образом:
- сужается суставная щель;
- происходят утолщения и уплотнения суставной капсулы;
- утолщается хрящевой слой;
- в суставе начинает собираться жидкость, и именно она сковывает подвижность;
- разрастаются кости – неофиты, но такая патология происходит только в том случае, если болезнь не лечится.
В некоторых эпизодах одновременно поражающее действие приходится на суставы межфаланговые на ногах, а также коленные и тазобедренные.
Полиостеоартроз является одной из наиболее распространенных форм артроза, затрагивающей несколько суставов одновременно. Врачи отмечают, что это заболевание чаще всего проявляется у людей старшего возраста, но может также развиваться у молодых пациентов, особенно при наличии предрасполагающих факторов, таких как травмы или генетическая предрасположенность.
Специалисты подчеркивают, что важным аспектом лечения является ранняя диагностика и комплексный подход. Консервативные методы, включая физиотерапию, медикаментозное лечение и коррекцию образа жизни, могут значительно замедлить прогрессирование болезни и улучшить качество жизни пациентов. Врачам важно также обучать пациентов о значении регулярной физической активности и поддержания нормального веса, что способствует снижению нагрузки на суставы.
Тем не менее, в более тяжелых случаях может потребоваться хирургическое вмешательство. Врачи согласны, что индивидуальный подход к каждому пациенту и постоянный мониторинг состояния суставов играют ключевую роль в успешном лечении полиостеоартроза.

Основные причины возникновения заболевания
Ученые до конца не выявили все причины, которые вызывают заболевание,
но все же можно выделить такие:
- наследственный фактор, причем замечено, что в этом случае передается болезнь по женской линии. Предположительно, что в этом преимущественно виноваты аномалии в строении хрящевой ткани,которые заложены генетически;
- нарушенный обменный процесс или процесс кровообращения;
- лишний вес;
- сахарный диабет;
- отклонения в работе щитовидной железы;
- травматические поражения;
- длительные и сильные нагрузки, при которых были задействованы суставные ткани колена.
Полиостеоартроз с поражением коленных суставов является заболеванием самостоятельным, но нередко его возникновение провоцируют другие болезни.
Видео
Видео — Причина появления заболеваний коленных суставов
https://youtube.com/watch?v=wsJ6ebLSyHA%3Frel%3D0
Полиостеоартроз — это заболевание, которое вызывает множество дискуссий среди людей, сталкивающихся с его последствиями. Многие пациенты описывают постоянную боль и ограничение подвижности, что значительно снижает качество жизни. Некоторые отмечают, что с возрастом симптомы становятся более выраженными, и простые действия, такие как подъем по лестнице или прогулка, превращаются в настоящие испытания.
Люди делятся своими историями о том, как им удалось справиться с болезнью: кто-то находит облегчение в физиотерапии, другие обращаются к альтернативным методам лечения, таким как акупунктура или фитотерапия. В социальных сетях часто появляются группы поддержки, где участники обмениваются опытом, советами и мотивацией. Несмотря на сложности, многие сохраняют оптимизм и продолжают искать пути для улучшения своего состояния, подчеркивая важность активного образа жизни и правильного питания.

Негативные проявления болезни
Болезнь проявляется очень решительно: возникают сильные боли, особенно после сна трудно сделать первые шаги. Спустя какое-то время боль отпускает, но возвращается вновь, особенно в вечернее время.
Появляются болевые ощущения и после физической нагрузки. Когда болезнь только заявляет о себе, многие не придают значения тому факту, что длительные усилия сказываются на колене. Но проходит время, и даже самая незначительная нагрузка будет очень болезненной. Все это время чувствуется ограничение подвижности сочленений сустава.
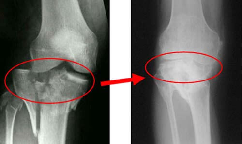
Больной сустав со временем начнет менять форму. Если сделать на ранних этапах болезни рентгеновский снимок, то аномалию можно будет выявить.
Почему лечение необходимо: основные методики
При малейших подозрениях на полиостеоартроз с поражением коленных суставов нужно обращаться в больницу, так как заболевание носит хронический характер, начинают деградировать суставы с другими элементами, что может привести к разрушению костной ткани. Этот негативный процесс может затронуть сразу несколько суставов, вследствие чего лечение превращается в долгий и сложный процесс.
Диагностика коленного сустава стала намного проще благодаря современному медицинскому оборудованию, а разработанные профессиональными врачами методики помогают остановить развитие болезни и помочь пациентам обрести утраченную привычную подвижность.
С помощью томографии удается выявить:
- наличие остеофитоза и его степень;
- увидеть кисты;
- определить остеосклероз;
- насколько глубоко произошло поражение мышечно-связочного аппарата.
С помощью УЗИ можно определить состояние мышц и связок, суставов и сухожилий. Рентгеновский снимок расскажет, есть ли изменения суставного хряща. С помощью сцинтиграфии врач может определить наличие нарушений метаболизма в тканях.
Проведя исследование, определив причины, приведшие к патологии, узнав о сопутствующих заболеваниях, врач сможет назначить необходимое лечение.
Прежде всего, необходимо снять напряжение и не перегружать больной сустав.
За основу лечения обычно берут различные физиотерапевтические процедуры:
- магнитотерапию;
- электро-фонофорез;
- лазерную и ударно-волновую терапии и др.
Подбирается определенный состав продуктов для рациона, особенно если пациент имеет вес, намного превышающий норму.
Лечебная терапия включает и лекарственные средства: таблетки, растворы для инъекций, гели или мази. Если нет противопоказаний, назначаются средства, снимающие боль. В большинстве случаев, это лекарства из группы анальгетиков, нестероидных средств. Помогают при лечении хондропротекторы, то есть те препараты, которые останавливают процесс разрушения хрящевой ткани коленных суставов.
Применение одновременно нескольких целительных методик позволяет успешно лечить сустав, сняв воспалительный процесс, уменьшив болевой синдром, укрепив те мышцы, которые задействованы в биомеханике сустава.
В лечение необходимо включить специальные упражнения, которые посоветует лечащий врач. Выполняются они без резких движений не более 30 минут.
В случае крайней необходимости, если лечение не приводит к положительному результату, могут предложить пациенту операционный метод.
Советы врачей
Существует ряд советов медиков, которые помогут предотвратить наступление полиостеоартроза,
особенно если имеется наследственная предрасположенность:
- периодически обследоваться, особенно людям старше 40-летнего возраста;
- установить контроль над собственным весом;
- наладить рацион питания, в котором не должно быть излишнего количества жареной, острой, соленой пищи, а основным компонентом станут овощи и фрукты;
- заниматься физическими упражнениями;
- не нагружать сильно коленный сустав;
- не оставаться долго в фиксированной позе.
Так как без подвижности суставов нет нормальной жизни, следует обращаться за помощью к врачу, если начинают тревожить любые боли.
Вопрос-ответ
Что такое полиостеоартроз и как он влияет на суставы?
Полиостеоартроз – это хроническое заболевание, характеризующееся дегенеративными изменениями в суставах, которое затрагивает несколько суставов одновременно. Он приводит к разрушению хрящевой ткани, изменению формы суставов и ограничению их подвижности, что может вызывать боль и дискомфорт при движении.
Какие факторы способствуют развитию полиостеоартроза?
Развитие полиостеоартроза может быть связано с несколькими факторами, включая возраст, генетическую предрасположенность, избыточный вес, травмы суставов и профессиональную деятельность, связанную с постоянными нагрузками на суставы. Также важную роль играют нарушения обмена веществ и наличие других заболеваний, таких как диабет.
Каковы основные методы лечения полиостеоартроза?
Лечение полиостеоартроза включает в себя комплексный подход, который может включать медикаментозную терапию (обезболивающие и противовоспалительные препараты), физиотерапию, лечебную физкультуру и, в некоторых случаях, хирургическое вмешательство. Также важно следить за весом и вести активный образ жизни для уменьшения нагрузки на суставы.
Советы
СОВЕТ №1
Регулярно выполняйте физические упражнения, которые помогут укрепить мышцы вокруг суставов. Упражнения на растяжку и низкоинтенсивные аэробные нагрузки, такие как плавание или ходьба, могут значительно улучшить подвижность и снизить болевые ощущения.
СОВЕТ №2
Следите за своим питанием и включайте в рацион продукты, богатые омега-3 жирными кислотами, антиоксидантами и витаминами. Это может помочь уменьшить воспаление и поддержать здоровье суставов. Обратите внимание на рыбу, орехи, семена и свежие овощи.
СОВЕТ №3
Регулярно посещайте врача для мониторинга состояния суставов и корректировки лечения. Это поможет избежать осложнений и своевременно реагировать на изменения в состоянии здоровья.
СОВЕТ №4
Используйте специальные ортопедические устройства, такие как стельки или наколенники, чтобы снизить нагрузку на суставы и улучшить их функциональность. Это может значительно облегчить повседневную активность и повысить качество жизни.



